ƯU ĐÃI ĐẾN 70% KHI
ĐĂNG KÍ ONLINE
THÔNG TIN CỦA QUÝ KHÁCH
HOÀN TOÀN BẢO MẬT
Cấu tạo răng có sự khác biệt lớn với các cơ quan khác. Bởi chúng không thể tự hồi phục hay bù đắp điểm khuyết sau một thời gian bị sứt mẻ. Bất kể răng cửa bị mẻ nhiều hay ít, ở góc hay chân răng thì đều làm giảm thẩm mỹ của hàm răng đặc biệt khi cười. Vì răng cửa nằm ở vị trí giữa hàm răng và lộ ra ngoài khi bạn nói chuyện, ăn uống hoặc cười.

Lý do nên trám răng cửa bị mẻ
Tại sao nên trám răng cửa bị mẻ sớm nhất ngay khi có thể? Răng cửa bị mẻ không chỉ làm bạn mất tự tin khi giao tiếp với những người xung quanh mà nó còn có thể gây ra các bệnh lý răng miệng khác khi tình trạng này để lâu kéo dài như:
Gây ê buốt răng thường xuyên, đặc biệt là khi cắn những món ăn dai, cứng.
Viêm tủy răng.
Thức ăn bám dính khiến cho vi khuẩn xâm hại gây sâu răng, viêm nướu lợi.
Răng bị mẻ dần và bị ăn mòn theo thời gian.
Do đó, xét về tính thẩm mỹ và sức khỏe, việc trám răng cửa bị mẻ nên được thực hiện sớm nhất ngay khi có thể. Với công nghệ y học hiện nay, việc trám răng cửa là một kỹ thuật đơn giản, nhanh chóng và có giá cả vừa túi tiền. Bạn có thể hoàn toàn yên tâm về độ an toàn cũng như chất lượng.
Xem thêm: dịch vụ làm răng giả toàn hàm chất lượng tại SHINING SMILE nhé.
Trám răng cửa bị mẻ là một kỹ thuật nha khoa khá đơn giản, dễ thực hiện và có độ an toàn cao. Tuy nhiên, bạn không nên bỏ qua những điều cần chú ý dưới đây. Đồng thời nó cũng là căn cứ xác định trám răng cửa bị mẻ bao nhiêu tiền.
Composite là vật liệu trám răng được sử dụng nhiều nhất hiện nay. Đây là một loại vật liệu có màu trắng, đẹp tự nhiên và không có sự khác biệt so với màu sắc của răng thật. Do đó, bạn không cần sợ bị lộ sau khi hàn trám. Hơn thế nữa, đây cũng là loại vật liệu lành tính tuyệt đối không gây ra bất cứ kích ứng nào đối với cơ thể, có độ bền cao và cho ra kết quả lâu dài.

Lưu ý khi trám răng cửa
Bên cạnh việc phục hồi về chức năng nhai, cắn cho răng thì trám răng cửa bị mẻ, trám răng cửa bị sâu còn yêu cầu tính thẩm mỹ cao. Do đó trình độ chuyên môn và năng lực của bác sĩ nha khoa ảnh hưởng trực tiếp tới tính thẩm mỹ của răng sau khi trám. Bạn hãy cân nhắc lựa chọn địa chỉ nha khoa chuyên nghiệp, đội ngũ y bác sĩ năng lực cao để yên tâm hơn.

Việc chăm sóc răng sau khi trám cũng vô cùng quan trọng để giữ cho răng có kết quả lâu dài. Hạn chế tối đa các loại thực phẩm cứng cần lượng lớn lực cắn của răng cửa sẽ giúp duy trì được độ bền của miếng trám răng.
Ngoài ưu điểm màu sắc trắng tự nhiên như răng thật thì vật liệu composite còn có nhược điểm đó là dễ bị biến đổi theo thời gian và đặc biệt là có thể bị ảnh hưởng do các loại màu thực phẩm. Vì vậy, chế độ ăn uống cần được đặc biệt chú trọng và hạn chế tối đa các loại trà, cà phê hoặc nước ngọt có ga để duy trì vẻ đẹp của răng sau khi trám.
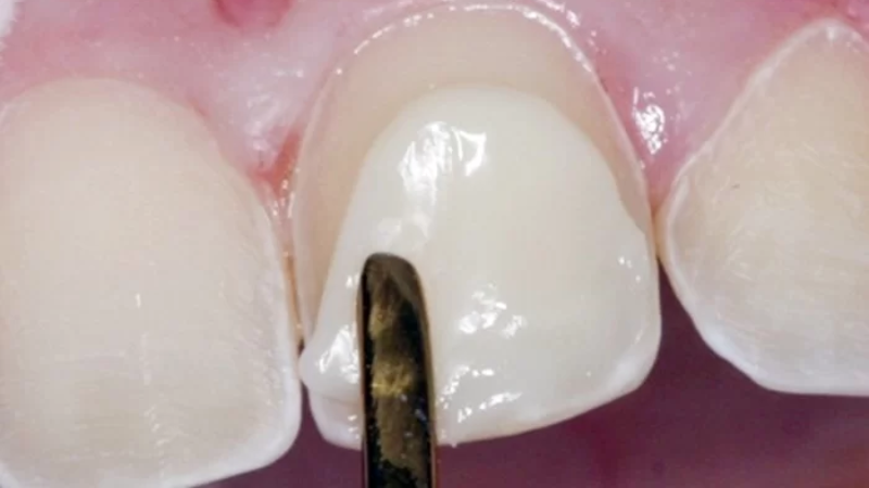
Ngay tại vị trí răng cửa đã bị mẻ thì nha sĩ sẽ bắt đầu sát trùng rồi vô khuẩn sạch sẽ xong mới tiền hành hàn lành lại răng. Theo đó trong quá trình trám răng thì bệnh nhân có thể cảm thấy bị đau buốt nhẹ. Tuy nhiên bạn đừng lo lắng vì bác sĩ sẽ gây tê trước rồi mới làm để bệnh nhân thấy an tâm và thoải mái hơn.
Đây là thắc mắc mà nhiều người quan tâm. Cụ thể nhờ công nghệ trám răng bằng laser tiên tiến, hiện đại ngày nay nên sau khi trám răng cửa thì khách hàng có thể duy trì được độ bền trong vòng 5 – 10 năm. Tuy nhiên cũng cần biết độ bề răng đã hàn lâu hay chậm còn phụ thuộc cả vào yếu tố chủ quan của khách hàng nữa. Điển hình là cơ địa và chế độ chăm sóc.
Thời gian chữa trị nhanh chóng: khoảng 30 phút bác sĩ SHINING SMILE đã trám xong chiếc răng bị mẻ.
Chi phí trám răng cửa bị mẻ khá rẻ: Chi phí trám răng một chiếc răng bị mẻ chỉ giao động khoảng 500.000 – 800.000 Vnđ/răng.
Thẩm mỹ cao: Răng bị mẻ khi trám xong có màu sắc giống như răng thật, bạn không hề nhận ra chiếc răng đã trám.
Việc trám răng sứt không chỉ giúp khôi phục lại hình dạng và chức năng của răng mà còn ngăn ngừa các vấn đề nghiêm trọng hơn về sức khỏe răng miệng. Chi phí trám răng sứt có thể khác nhau tùy thuộc vào mức độ hư hại, loại vật liệu sử dụng và địa chỉ nha khoa mà bạn lựa chọn. Tại SHINING SMILE, chúng tôi cung cấp dịch vụ trám răng sứt với bảng giá cập nhật, đảm bảo minh bạch và hợp lý cho mọi khách hàng. Để biết thêm thông tin chi tiết và nhận tư vấn cụ thể về chi phí, hãy liên hệ ngay với chúng tôi qua Hotline: 039775 8888. SHINING SMILE - nơi bạn có thể tin tưởng để nhận được dịch vụ chăm sóc răng miệng chất lượng cao và giá cả hợp lý!
ƯU ĐÃI ĐẾN 70% KHI
ĐĂNG KÍ ONLINE
THÔNG TIN CỦA QUÝ KHÁCH
HOÀN TOÀN BẢO MẬT