ƯU ĐÃI ĐẾN 70% KHI
ĐĂNG KÍ ONLINE
THÔNG TIN CỦA QUÝ KHÁCH
HOÀN TOÀN BẢO MẬT
Lý do chi phí niềng răng khác nhau? ✤Hiệu quả và chi phí: thì nên chọn các loại niềng răng mắc cài kim loại tự đóng.
Nếu bệnh nhân muốn có được cả 2 yếu tố trên có thể lựa chọn mắc cài chất liệu sứ theo cấu tạo mắc cài Sứ tự đóng và chi phí cũng không quá cao so với mắc cài mặt trong và Invisalign. Lựa chọn dịch vụ niềng răng của Nha khoa Shining Smile, Quý khách có thể hoàn toàn yên tâm về chất lượng, hiệu quả đạt được cũng như mức phí thực hiện.
Khi cần hỗ trợ về bất cứ điều gì, có thể liên hệ theo Hotline 039 775 8888 (Có sử dụng Zalo)


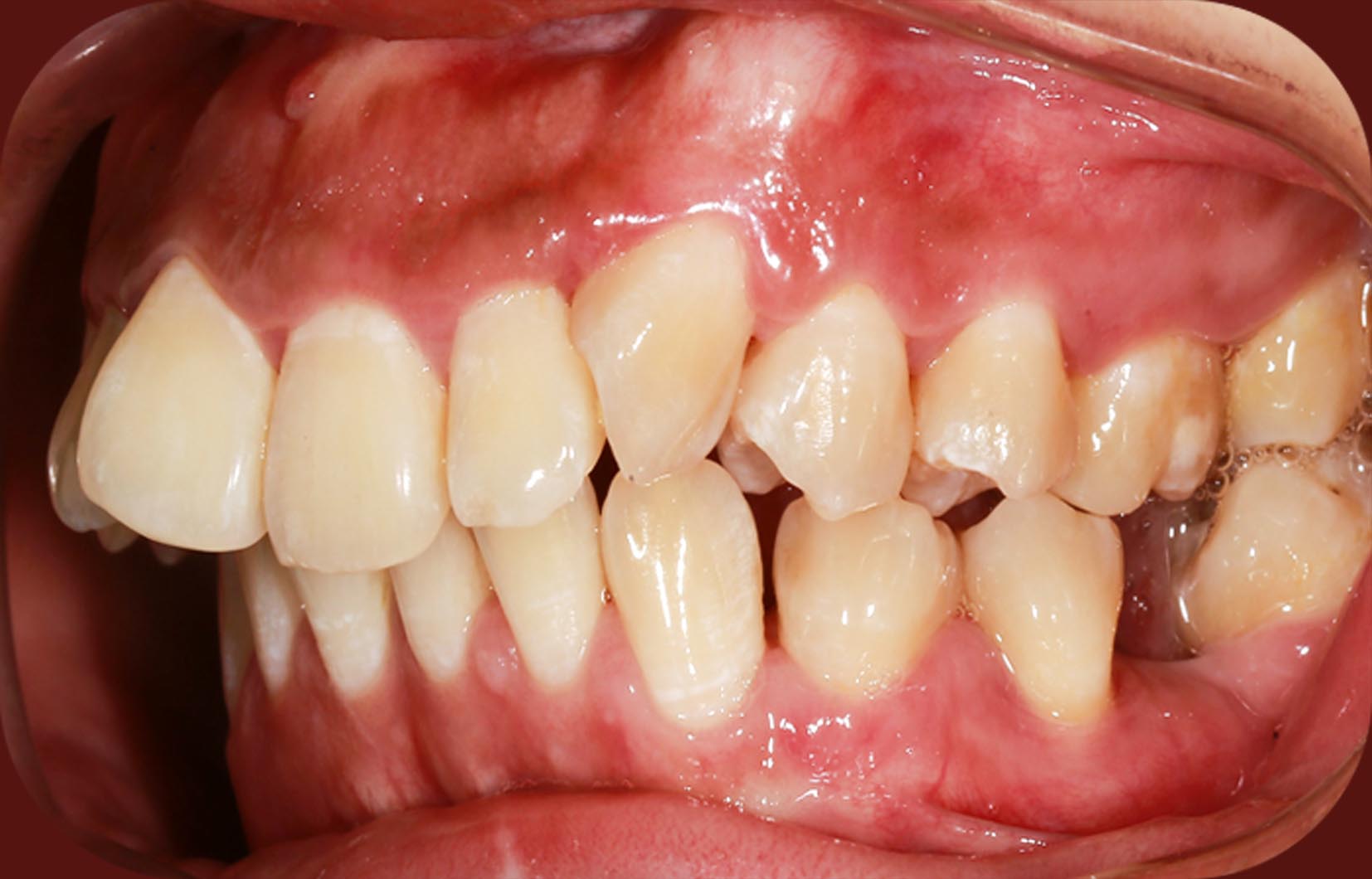
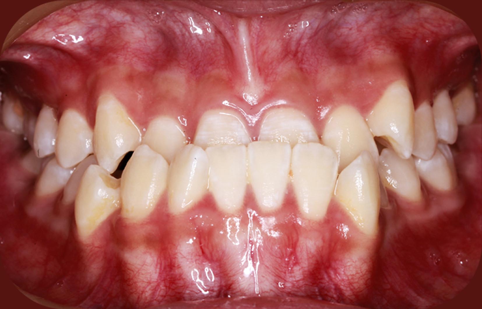
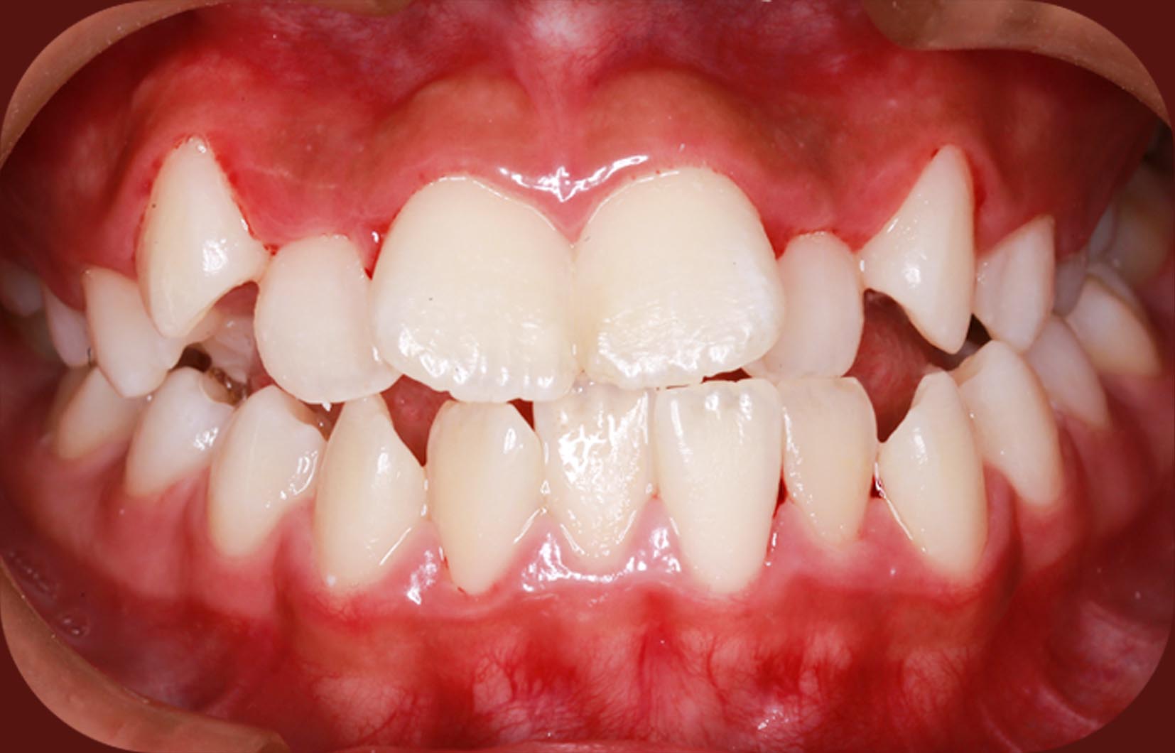
Khám tổng quát trong miệng: xác định mức độ lệch lạc, hư hỏng của răng trên từng cung hàm; mức độ cắn chìa và cắn phủ của răng, đánh giá mức độ hô, móm, cắn sâu, cắn hở,...; xác định tương quan răng nanh và răng 6 hàm trên dưới thuộc loại nào…
Chụp X-Quang toàn cảnh và phim sọ nghiêng, nhờ đó Bác sĩ xác định được các góc độ, chỉ số, chiều dài xương hàm, để đưa ra chẩn đoán chính xác. Chụp X-Quang cổ tay để đánh giá tuổi tăng trưởng của xương hàm. Trường hợp khó Bs sẽ cho chụp phim CT Conbeam 3 chiều và dùng phần mềm chỉnh nha Vceph để xác định tương quan các điểm mốc cấu trúc theo 3 chiều chính xác và dự đoán được tương đối khuôn mặt sau khi chỉnh nha.

Lấy dấu răng và đổ thạch cao để lấy mẫu răng nhằm xác lập các thông số trên mẫu răng thạch cao.
Từ việc kết hợp những thông số này với khám lâm sàng và phim X-Quang, Bác sĩ sẽ thiết lập kế hoạch điều trị chính xác, chẳng hạn như có cần nhổ răng hay không, có cần nong rộng hàm hay bắt vít không, và quyết định về thời gian điều trị,...

Quy trình khi gắn mắc cài:
Thời gian gắn mắc cài trong khoảng 1 giờ, hoàn toàn không đau.
Sau khoảng 1 tuần kể từ khi bắt đầu gắn mắc cài, khách hàng sẽ không còn thấy vướng víu, khó chịu như những ngày đầu.

Khách hàng tái khám và tuân thủ theo những chỉ định của Bác sĩ.
Bác sĩ theo dõi sự dịch chuyển của răng để điều chỉnh dây cung cho phù hợp.

Bác sĩ tháo mắc cài, dây cung và tiến hành vệ sinh răng miệng, loại bỏ các mảng bám do quá trình đeo mắc cài khiến cho việc vệ sinh răng gặp chướng ngại trong một thời gian dài.

Bác sĩ lấy dấu hai hàm làm khay duy trì cho Khách hàng, dùng để đeo vào ban đêm trong 6 tháng đầu tiên để giúp răng ổn định.


Không chỉ riêng niềng răng mà ở các dịch vụ khác, khách hàng đến Shining Smile sẽ được thăm khám, tư vấn và chụp phim bằng máy CT Cone Beam miễn phí thay vì phải trả 700.000 đến 1.500.000 như các nha khoa khác. Việc chụp phim bằng máy CT Cone Beam sẽ giúp bác sĩ thấy rõ, định hướng chính xác hướng đi của răng để đẩy nhanh tốc độ, kết thúc quá trình niềng sớm nhất.

Là một phương pháp cải thiện thẩm mỹ đòi hỏi nhiều thời gian, thường mỗi ca niềng răng đều từ 6 đến 2,5, 3 năm. Hiểu được những sự khó khăn và bất tiện khi đeo khí cụ niềng, bác sĩ tại Shining Smile luôn cố gắng tính toán để rút ngắn thời gian niềng của từng ca xuống một cách tối đa mà vẫn đảm bảo được sự chắc khỏe của răng.

Mang đến nhiều lựa chọn cho khách hàng khi niềng răng, Shining Smile ngoài niềng răng mắc cài kim loại tự đóng thì còn có niềng răng mắc cài sứ, niềng trong suốt Invisalign,… Tùy vào nhu cầu về thẩm mỹ và hiệu quả mong muốn mà bác sĩ tại nha khoa sẽ tư vấn cho bệnh nhân hình thức niềng răng phù hợp, không bị gò bó trong một loại niềng răng.
Vật liệu niềng bao gồm mắc cài, dây cung, khay niềng đều được nhập khẩu chính hãng từ các công ty sản xuất dụng cụ nha khoa trên thế giới. Bộ, khay niềng, đặc biệt khay niềng trong suốt chính hãng Invisalign còn có chế độ bảo hành và kiểm tra bằng mã vạch nên khách hàng có thể hoàn toàn yên tâm về chất lượng.

Là đối tác trực tiếp từ các thương hiệu cung cấp vật liệu nha khoa lớn, Shining Smile liên tục mang đến cho khách hàng những chương trình ưu đãi niềng răng với chi phí hợp lý, vừa túi tiền cho học sinh, sinh viên, cụ thể:
Ưu đãi hấp dẫn, nha khoa còn hỗ trợ khách hàng niềng răng trả góp 0%, không qua bên thứ 3. Khách hàng sẽ trả trước một số tiền nhất định (tùy theo từng loại niềng), sau đó trả góp 1 – 2 triệu cho mỗi lần đến thăm khám và siết mắc cài.
Dịch vụ niềng răng tại Shining Smile luôn HOT và nhận được nhiều sự tin tưởng, ủng hộ của khách hàng.
Liên hệ ngay Hotline 038 775 8888 (Có sử dụng Zalo) hoặc đăng ký tư vấn để được bác sĩ nha khoa Shining Smile tư vấn nhanh và chi tiết!
Nha khoa Shining Smile được xây dựng và phát triển hướng đến mô hình trung tâm nha khoa kỹ thuật cao chuyên sâu với các dịch vụ mũi nhọn như dán sứ veneer, chỉnh nha, bọc răng sứ, cấy ghép implant, điều trị cười hở lợi, nhổ răng khôn, điều trị. Để thực hiện được sứ mệnh đó, Nha khoa Shining Smile hiểu rằng Chúng tôi phải tập trung đầu tư vào con người và hệ thống trang thiết bị công nghệ hiện đại.
Đội ngũ bác sĩ chuyên khoa chỉnh nha chuyên sâu với nhiều năm kinh nghiệm.



Miệng là một bộ phận rất nhạy cảm, khi mới đeo niềng răng bạn sẽ thấy khó chịu và đau, tuy nhiên triệu chứng này sẽ hết sau một vài ngày. Nếu đau quá bác sĩ sẽ cho bạn uống thuốc giảm đau như ibuprofen hay paracetamol. Cần lưu ý là một số bộ phận của niềng răng có thể gây ra khó chịu cho nướu răng và môi, thậm chí là đau. Nếu sau một vài ngày niềng răng, cơn đau không hết bạn cần quay lại bác sĩ nha khoa để kiểm tra và điều chỉnh niềng răng.
Hầu hết các trường hợp bị mất hay hỏng đều nằm ngoài mong muốn của bệnh nhân. Nhưng nếu không may bạn đánh mất niềng răng tháo lắp hay bị hỏng niềng răng vì bất cứ lý do gì, đừng chần chừ hãy đến gặp nha sĩ của bạn ngay, bác sĩ sẽ tìm cách khắc phục hậu quả cho bạn. Nếu bạn để lâu, bạn sẽ phải bỏ thêm chi phí cho việc sửa chữa hoặc làm mới, lúc đó răng của bạn có thể lại trở về vị trí cũ, thời gian niềng răng trước đây sẽ trở nên vô ích.
Nhiều loại thức ăn có thể ảnh hưởng tới nẹp răng. Trong những ngày đầu niềng răng, bệnh nhân cần ăn thức ăn mềm. Khi niềng răng cần tránh thức ăn dính, dai, ngọt. Không nên nhai kẹo cao su, ăn các thức ăn cứng như táo, bánh cứng bởi những thực phẩm này có thể phá vỡ dây và khung của nẹp. Tránh đồ uống có ga, nước ngọt, nước ép trái cây vì những đồ uống có đường và axit dễ dẫn đến sâu răng và ăn mòn răng. Tốt nhất cần cắt nhỏ thức ăn, ăn đồ ăn mềm, uống nước ngọt cần dùng ống hút. Sau khi ăn cần làm sạch răng bởi thức ăn dễ bị tích tụ trong các bộ phận của nẹp.
Và còn nhiều nữa những câu hỏi của quý khách hàng, để có thể giải quyết hết những thắc mắc về niềng răng, bạn có thể liên hệ ngay Hotline 038 775 8888 (Có sử dụng Zalo) hoặc đăng ký tư vấn để được bác sĩ nha khoa Shining Smile tư vấn ngay nhé!

























