ƯU ĐÃI ĐẾN 70% KHI
ĐĂNG KÍ ONLINE
THÔNG TIN CỦA QUÝ KHÁCH
HOÀN TOÀN BẢO MẬT
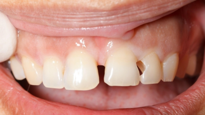
Tình trạng răng sứ hỏng có một số biểu hiện thường gặp như:
Răng bị viêm nướu, viêm tủy gây đau nhức.
Hôi miệng.
Sứ bị mẻ, gãy, sút.
Cùi răng bị gãy khiến mão bị rơi ra.
Ăn nhai khó khăn do sai khớp cắn.
Các triệu chứng trên làm ảnh hưởng tính thẩm mỹ, khả năng ăn nhai và tăng nguy cơ mắc bệnh răng miệng.

Sau một thời gian bọc răng sứ vẫn có trường hợp răng sứ bị mẻ, ảnh hưởng đến thẩm mỹ, khiến người bệnh thiếu tự tin.
Lưu ý, thực tế vẫn có một số trường hợp làm răng sứ không có biểu hiện nào bất thường, nhưng vẫn có thể dẫn đến hậu quả nghiêm trọng. Điển hình như vừa qua SHINING SMILE có tiếp nhận một bệnh nhân nữ, chỉ mới 28 tuổi và làm răng sứ cách đây 4 năm trước. Bạn đến SHINING SMILE để khám răng thì phát hiện răng đã nhiễm trùng do lần điều trị trước không điều trị tủy triệt để. Kết quả là bệnh nhân phải làm lại 2 hàm răng sứ mới để đảm bảo sức khỏe răng miệng.
Làm răng sứ bị hỏng có thể do một số nguyên nhân như:
Bệnh nhân không được điều trị dứt điểm tình trạng viêm nướu hoặc các bệnh lý răng miệng khác. Từ đó tạo điều kiện để vi khuẩn hình thành, phát triển và phá hủy cấu trúc răng, nướu. Khi mô răng thật đã bị suy yếu, răng sứ không còn chỗ bám vững chắc và dẫn đến hư hỏng.
Bác sĩ thực hiện bọc răng sứ không đúng quy trình gây ra kẽ hở giữa răng thật và mão răng sứ – tạo môi trường cư ngụ lý tưởng cho các vi khuẩn gây sâu răng. Ngoài ra, nếu bác sĩ mài răng quá nhiều nhưng không điều trị tủy đúng cách thì về lâu dài bệnh nhân cũng dễ bị viêm nướu, nhiễm trùng.

Bác sĩ mài răng quá sâu để bọc răng sứ nhưng không điều trị tủy đúng cách có thể làm bệnh nhân bị viêm nướu, nhiễm trùng.
Vì răng sứ chỉ bám vào cùi răng thật nhờ một lớp keo dán nha khoa, nên không cố định chắc chắn trong xương làm. Do đó, nếu bệnh nhân cắn, nhai thức ăn quá cứng hoặc có va chạm mạnh do chơi thể thao, tai nạn thì có thể khiến răng sứ bị nứt vỡ. Ngoài ra, trường hợp chăm sóc răng không đúng cách cũng làm tổn thương, hư hỏng răng sứ.
Nhiều người băn khoăn bọc răng sứ bị hư có làm lại được không? Câu trả lời còn tùy thuộc vào từng trường hợp cụ thể:
Đối với trường hợp cùi răng thật còn chắc chắn: Bác sĩ sẽ tháo mão răng cũ ra để điều trị tủy triệt để. Sau đó, bác sĩ tiến hành lắp lại mão răng sứ mới giúp bệnh nhân ăn nhai lại bình thường, đảm bảo sức khỏe răng miệng.
Đối với trường hợp nhiễm trùng kéo dài mà không được nhận biết: Tình trạng này có thể gây ra tiêu xương hàm với nguy cơ mất răng cao. Để hạn chế tối đa biến chứng, răng cần được phục hồi bằng giải pháp cấy Implant.

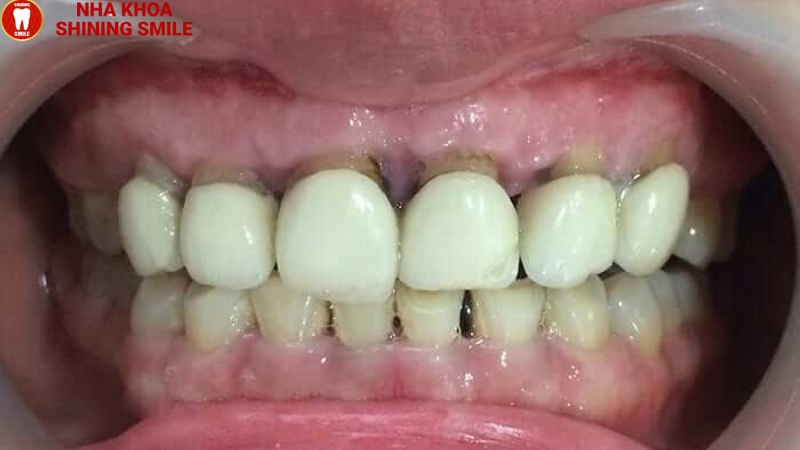
Bọc răng sứ bị hỏng
Tóm lại, không phải trường hợp nào bọc răng sứ bị hỏng cũng có biểu hiện rõ ràng, điều này có thể khiến nhiều người chủ quan mà không xử lý sớm. Vì thế, điều quan trọng nhất khi có nhu cầu làm răng sứ 2 hàm là bạn cần tìm đến địa chỉ nha khoa uy tín để được điều trị với bác sĩ giỏi, thăm khám kỹ càng trước và sau điều trị để đảm bảo kết quả như ý, vững ổn lâu dài.
ƯU ĐÃI ĐẾN 70% KHI
ĐĂNG KÍ ONLINE
THÔNG TIN CỦA QUÝ KHÁCH
HOÀN TOÀN BẢO MẬT