ƯU ĐÃI ĐẾN 70% KHI
ĐĂNG KÍ ONLINE
THÔNG TIN CỦA QUÝ KHÁCH
HOÀN TOÀN BẢO MẬT
Răng mọc không đều chính là tình trạng khá phổ biến và nhiều người mắc phải. Đây chính là một tình trạng bị sai lệch khớp cắn gây ra nhiều ảnh hưởng đến thẩm mỹ khuôn miệng cũng như gương mặt và chức năng nhai của bạn. Tình trạng răng bị mọc không đều có thể là do bạn bị bẩm sinh hoặc cũng là do xuất phát từ thói quen xấu của bạn. Thực tế thì khuyết điểm trên răng miệng này có thể được hiểu theo nhiều cách như răng có kích thước không được đều nhau. Hoặc là do các răng không được sắp xếp ngay ngắn ở trên cũng hàm và cũng có thể là do không được đều về màu sắc.

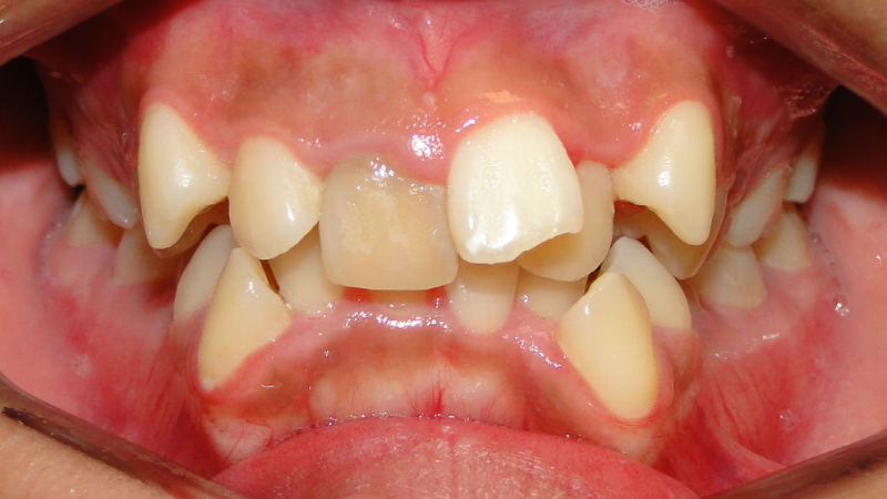
Tình trạng răng mọc lộn xộn ở trên cung hàm
Thông thường thì có 3 dạng răng không đều phổ biến:
Tình trạng răng mọc lộn xộn ở trên cung hàm, thông thường thì răng cửa sẽ có phần to hơn hoặc là bị mọc chệch hơn so với những chiếc răng khác.
Mọc chệch ra khỏi quỹ đạo, không đúng theo vị trí ở trên khung hàm.
Đến cuối cùng thì tịnh trạng răng mọc không đều là về kích thước gây ra việc mất thẩm mỹ. Ở trên cũng hàm răng sẽ có những chiếc răng mọc quá to hoặc quá nhỏ xen kẽ nhau dẫn đến tình trạng không đảm bảo được chất lượng thẩm mỹ.
Từ những thông tin trên thì bạn cũng đã biết sơ về răng mọc không đều là như thế nào. Vậy có dùng phương pháp bọc răng sứ để khắc phục tình trạng răng mọc không đều được không? Hãy cùng đọc tiếp bài viết này nhé!

Bọc răng sứ cho răng không đều
Bọc răng sứ cho răng không đều là một trong những phương pháp làm răng thẩm mỹ có hàm răng đều và đẹp, giúp bạn có nụ cười duyên dáng, đẹp hơn. Thông thường thì những hàm răng không đều thì việc vệ sinh răng miệng sẽ khó khăn khiến cho vi khuẩn sẽ có thể bị trú ngụ và gây ra nhiều bệnh lý về răng miệng. Vậy có phải những trường hợp răng mọc không đều thì đều có thể bọc răng sứ được không?
Răng mọc không đều thì có thể bọc răng sứ được tuy nhiên không phải trường nào cũng có thể bọc răng sứ được. Dưới đây chính là một số trường hợp răng mọc không đều có thể bọc răng sứ được:
Răng mọc khấp khểnh nhẹ
Răng mọc lệch lạc nhẹ
Răng bị móm hoặc hô nhẹ
Răng không đều màu và mọc lệch nhẹ

Niềng răng để nắn chỉnh răng mọc không đều
Trên thực tế thì không phải trường hợp răng mọc không đều thì đều có thể khắc phục được phương pháp bọc răng sứ. Bởi vì thế mà có những trường hợp răng mọc không đều nặng thì không thể bọc răng sứ được. Như vậy thì đối với những trường hợp răng mọc không đều như vậy thì biện pháp để khắc phục đó chính là phương pháp chỉnh nha để có thể giúp cho răng được đều và đẹp hơn.
Hy vọng những thông tin được chia sẻ bởi SHINING SMILE đã giúp bạn rõ hon về vấn đề bọc răng sứ cho răng mọc không đều. Bạn có thể đến SHINING SMILE để được ta thăm khám và tư vấn từ các chuyên gia nhé!
ƯU ĐÃI ĐẾN 70% KHI
ĐĂNG KÍ ONLINE
THÔNG TIN CỦA QUÝ KHÁCH
HOÀN TOÀN BẢO MẬT