ƯU ĐÃI ĐẾN 70% KHI
ĐĂNG KÍ ONLINE
THÔNG TIN CỦA QUÝ KHÁCH
HOÀN TOÀN BẢO MẬT

Bọc răng sứ là phương án phục hình thẩm mỹ cho răng bị khiếm khuyết như: răng xỉn màu, ố vàng, răng thưa, hở, sứt mẻ hoặc bọc răng sứ cho răng móm giúp cho hàm răng đều đặn và trắng sáng hơn. Ngoài ra, phương án này còn bảo vệ những răng đã lấy tủy khỏi sự tác động và xâm nhập của vi khuẩn.
Để thực hiện bọc răng sứ, bác sĩ sẽ mài răng thật theo một tỷ lệ nhất định để làm cùi răng. Cùi răng này sẽ nâng đỡ mão sứ bên trên. Phần mão sứ được chế tác sát khít với răng thật, với hình dáng và màu sắc phù hợp với cung hàm.
Răng sứ có thể làm bằng răng sứ kim loại hoặc răng sứ toàn sứ. Tùy vào tình trạng răng miệng và nhu cầu của mỗi người.
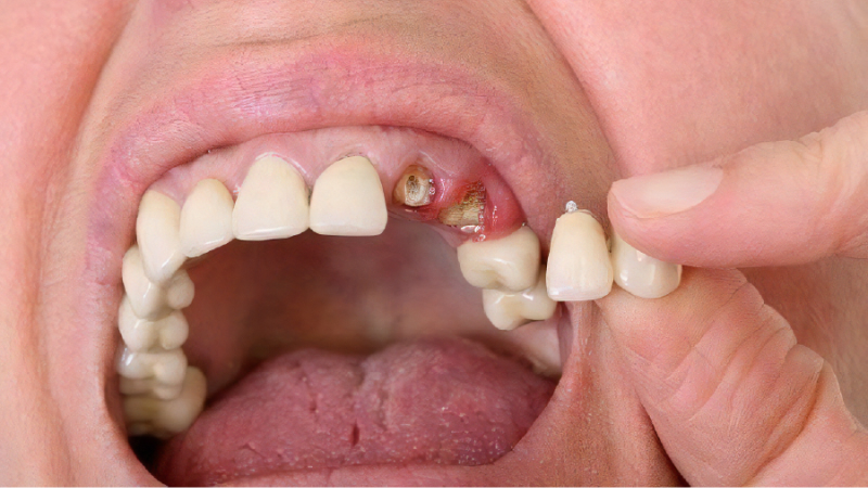
Không hiếm gặp tình trạng chỉ còn lại chân răng, do một số nguyên nhân sau:
Tai nạn
Rất nhiều người có thói quen dùng răng mở nắp chai, cắn vật cứng. Nhưng hành động này trực tiếp ảnh hưởng đến men răng và khiến men răng bị tổn thương. Lâu ngày, răng vỡ mẻ từng chút cho đến khi chỉ còn chân răng.
Răng bị thiếu canxi
Răng bị thiếu canxi do cơ địa hoặc do ăn uống thiếu chất. Khi răng bị thiếu canxi sẽ khiến men răng bị yếu. Cho dù chỉ ăn uống bình thường cũng có thể gây mẻ vỡ răng.
Bệnh lý răng miệng
Răng mắc bệnh lý khiến men răng bị suy yếu nên sẽ dễ gãy vỡ. Nếu không điều trị kịp thời, răng sẽ bị vi khuẩn tấn công cho đến khi chỉ còn chân răng.

Những trường hợp răng chỉ còn lại chân răng

Nếu chỉ còn chân răng, bạn sẽ không thể tiến hành bọc sứ. Bởi để bọc sứ, bác sĩ cần phải mài răng để làm cùi, sau đó đặt mão sứ lên trên. Để đủ điều kiện bọc răng sứ, phần chân răng còn lại phải còn khỏe mạnh, cứng chắc, không bị nứt, gãy vỡ, các mô xung quanh răng còn khả năng lưu giữ răng.
Nếu chân răng vẫn còn đủ thân răng, bác sĩ vẫn có thể tiến hành bọc sứ. Nếu không, bạn buộc phải tìm đến phương án trồng răng Implant để cải thiện. Không nên để quá lâu, bởi có thể sẽ ảnh hưởng đến các răng kế cận.
Tại nha khoa SHINING SMILE, chi phí bọc sứ cho rằng chỉ còn chân răng sẽ dao động từ 1.000.000 – 9.000.000 vnđ/răng, tùy vào loại răng sứ mà khách hàng lựa chọn. Trong đó, chi phí răng toàn sứ sẽ cao hơn các loại răng sứ kim loại.
Trước khi khách hàng lựa chọn bọc răng sứ, các bác sĩ tại SHINING SMILE sẽ tiến hành thăm khám, chụp phim để kiểm tra tình trạng răng miệng hiện tại. Sau đó, dựa vào số răng cần bọc sứ và loại răng sứ mà khách hàng chọn, để tính được giá mài răng bọc sứ cụ thể.
Nếu bạn còn chân răng và đang cân nhắc việc bọc sứ, điều quan trọng là phải được tư vấn từ các chuyên gia nha khoa để đánh giá tình trạng cụ thể của răng và đưa ra giải pháp phù hợp. Việc bọc sứ có thể thực hiện được nếu chân răng của bạn còn khỏe mạnh và đủ chắc chắn để hỗ trợ mão sứ. Quy trình này sẽ giúp bảo vệ phần chân răng còn lại và cải thiện thẩm mỹ, mang lại nụ cười tự tin.
Tại SHINING SMILE, chúng tôi cung cấp dịch vụ bọc răng sứ với sự tư vấn và hỗ trợ từ đội ngũ bác sĩ giàu kinh nghiệm. Chúng tôi sẽ kiểm tra kỹ lưỡng tình trạng chân răng của bạn và đưa ra phương án điều trị tối ưu nhất. Hãy liên hệ ngay với chúng tôi qua Hotline: 039775 8888 để được tư vấn và hỗ trợ chi tiết. SHINING SMILE - đồng hành cùng bạn trong việc bảo vệ và nâng cao sức khỏe răng miệng!
ƯU ĐÃI ĐẾN 70% KHI
ĐĂNG KÍ ONLINE
THÔNG TIN CỦA QUÝ KHÁCH
HOÀN TOÀN BẢO MẬT