Sửa trang

ƯU ĐÃI ĐẾN 70% KHI

ĐĂNG KÍ ONLINE

Chỉ 30 suất ưu đãi trong tháng này

THÔNG TIN CỦA QUÝ KHÁCH

HOÀN TOÀN BẢO MẬT

Hà NộiHồ Chí MinhHải PhòngQuảng Ninh
NHẬN BÁO GIÁ NGAY

Tin tức

Niềng Răng Mắc Cài Sứ Trong Bao Lâu? Bí Ẩn Đằng Sau Thời Gian Đặc Biệt

Niềng Răng Mắc Cài Sứ Trong Bao Lâu? Bí Ẩn Đằng Sau Thời Gian Đặc Biệt

Niềng răng bằng mắc cài sứ là một phương pháp niềng răng mới mẻ và hấp dẫn, đặc biệt được ưa chuộng bởi vẻ thẩm mỹ và tự nhiên mà nó mang lại. Tuy nhiên, một trong những câu hỏi phổ biến mà nhiều người quan tâm là: niềng răng mắc cài sứ trong bao lâu? Để hiểu rõ hơn về quá trình này, hãy cùng đi sâu vào trong bài viết dưới đây cùng Nha Khoa Shining Smile.
Chi tiết
Răng Mẻ Có Thể Niềng Không - Giải Đáp Tất Cả

Răng Mẻ Có Thể Niềng Không - Giải Đáp Tất Cả

Răng mẻ không chỉ là vấn đề phổ biến mà còn là nguyên nhân gây khó khăn trong việc duy trì sức khỏe răng miệng. Nha Khoa Shining Smile đã đưa ra những lời khuyên quan trọng về cách khắc phục tình trạng này, cũng như giải đáp câu hỏi liệu răng mẻ có thể niềng được không. Đối với nhiều người, răng mẻ không còn là vấn đề xa lạ. Tuy nhiên, việc làm gì khi gặp tình trạng này và liệu có phương pháp nào để niềng răng mẻ không? Cùng khám phá trong bài viết dưới đây.
Chi tiết
Niềng Răng Nên Dùng Bàn Chải Nào Là Phù Hợp?

Niềng Răng Nên Dùng Bàn Chải Nào Là Phù Hợp?

Dù bạn đang niềng răng hay không, việc lựa chọn bàn chải phù hợp là điều không thể phớt lờ. Để hỗ trợ quá trình vệ sinh răng miệng, Nha Khoa Shining Smile đã đề xuất một số lời khuyên quan trọng. Vậy, niềng răng nên dùng bàn chải nào để đảm bảo vệ sinh hiệu quả? Hãy cùng tìm hiểu trong bài viết dưới đây.
Chi tiết
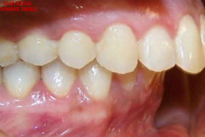
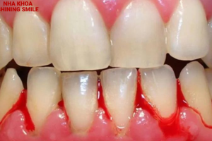
Chảy Máu Chân Răng Khi Niềng: Nguyên Nhân và Giải Pháp

Chảy Máu Chân Răng Khi Niềng: Nguyên Nhân và Giải Pháp

Tại Nha Khoa Shining Smile, nhiều bệnh nhân thường lo lắng về tình trạng chảy máu chân răng sau khi niềng. Đây là hiện tượng phổ biến có thể xảy ra ở nướu răng, bên trong má hoặc ở môi. Vậy tình trạng này có ảnh hưởng gì đến hiệu quả niềng răng hay sức khỏe của bạn không? Trong bài viết này, chúng tôi sẽ cùng bạn tìm hiểu về nguyên nhân và cách xử lý chảy máu chân răng khi niềng, giúp bạn an tâm hơn trong quá trình chỉnh nha.
Chi tiết
Vì Sao Niềng Răng Cần Cắt Lợi? Những Điều Bạn Cần Biết

Vì Sao Niềng Răng Cần Cắt Lợi? Những Điều Bạn Cần Biết

Niềng răng từ lâu đã trở thành giải pháp hàng đầu để cải thiện thẩm mỹ và chức năng của hàm răng, giúp khắc phục các vấn đề như hô, móm, và sai lệch khớp cắn. Tuy nhiên, tại Nha Khoa Shining Smile, nhiều bệnh nhân được tư vấn rằng cần phải cắt lợi trước khi niềng răng để đạt hiệu quả tối ưu. Vậy, vì sao người niềng răng cần cắt lợi và đâu là thời điểm phù hợp nhất để thực hiện thủ thuật này? Quyết định này thường dựa trên tình trạng cụ thể của mỗi bệnh nhân và sự tư vấn của bác sĩ chuyên khoa, nhằm đảm bảo quá trình niềng răng diễn ra thuận lợi và đạt kết quả thẩm mỹ tốt nhất.
Chi tiết
18 Tuổi Niềng Răng Được Không? Lời Khuyên Từ Chuyên Gia

18 Tuổi Niềng Răng Được Không? Lời Khuyên Từ Chuyên Gia

Rất nhiều khách hàng thắc mắc liệu Nha Khoa Shining Smile có thể giúp họ niềng răng ở tuổi 18 không. Theo các chuyên gia chỉnh nha, 18 tuổi là thời điểm phù hợp để tiến hành niềng răng. Ở độ tuổi này, xương hàm vẫn đang phát triển và hàm răng chưa hoàn toàn cố định, giúp việc dịch chuyển răng trở nên dễ dàng hơn. Niềng răng ở độ tuổi này không chỉ cải thiện thẩm mỹ mà còn nâng cao khả năng ăn nhai và phòng ngừa nhiều bệnh lý nha khoa. Thời gian niềng răng cho người 18 tuổi thường kéo dài từ 12 đến 24 tháng, tùy thuộc vào tình trạng răng miệng, mức độ lệch lạc của răng, phương pháp niềng và tay nghề của bác sĩ.
Chi tiết
Tầm Quan Trọng của Việc Điều Trị Niềng Răng Khớp Cắn Chéo Sớm

Tầm Quan Trọng của Việc Điều Trị Niềng Răng Khớp Cắn Chéo Sớm

Nha Khoa Shining Smile luôn chú trọng đến việc chăm sóc và điều trị các vấn đề răng miệng, đặc biệt là khớp cắn chéo. Khớp cắn chéo là một loại sai lệch khớp cắn loại 3, có mức độ nghiêm trọng cần được điều trị kịp thời để tránh ảnh hưởng tiêu cực đến sức khỏe và tâm lý của người bệnh. Việc khắc phục khớp cắn chéo đạt hiệu quả tốt nhất khi tiến hành ở độ tuổi từ 12 đến 16. Rối loạn này không chỉ làm gương mặt mất cân xứng, khiến người bệnh tự ti và mặc cảm về ngoại hình, mà còn có thể dẫn đến các bệnh lý răng hàm mặt nguy hiểm, ảnh hưởng xấu đến sức khỏe tổng thể.
Chi tiết
Xử Lý Khi Bọc Răng Sứ Bị Ngứa: Nguyên Nhân Và Cách Khắc Phục

Xử Lý Khi Bọc Răng Sứ Bị Ngứa: Nguyên Nhân Và Cách Khắc Phục

Bọc răng sứ bị ngứa lợi là tình trạng nhiều người gặp phải sau khi thực hiện thủ thuật. Vậy nguyên nhân bọc răng sứ bị ngứa lợi là gì? Có cách nào khắc phục hiệu quả không? Hãy cùng SHINING SMILE tìm hiểu chi tiết trong bài viết dưới đây nhé!
Chi tiết
Bọc Răng Sứ Khớp Cắn Ngược: Giải Pháp Hiệu Quả

Bọc Răng Sứ Khớp Cắn Ngược: Giải Pháp Hiệu Quả

Khớp cắn ngược, còn được gọi là tình trạng răng móm, là một trong những sai lệch khớp cắn nghiêm trọng. Tình trạng này không chỉ gây mất thẩm mỹ cho khuôn mặt mà còn gây ra những trở ngại trong cuộc sống sinh hoạt và công việc. Vậy chúng ta nên làm gì khi bị khớp cắn ngược? Hãy cùng SHINING SMILE tìm hiểu các giải pháp hiệu quả qua bài viết dưới đây.
Chi tiết
Bọc Răng Sứ Và Những Biến Chứng Khó Lường

Bọc Răng Sứ Và Những Biến Chứng Khó Lường

Bọc răng sứ là một quá trình phục hình răng phổ biến, mang lại nhiều lợi ích về thẩm mỹ và chức năng ăn nhai. Tuy nhiên, nếu không được thực hiện đúng kỹ thuật và chăm sóc sau bọc răng sứ, bạn có thể đối mặt với những hậu quả không mong muốn. Hãy cùng SHINING SMILE tìm hiểu về hậu quả của việc bọc răng sứ và cách phòng tránh những vấn đề này qua bài viết dưới đây.
Chi tiết
Răng Lộn Xộn Có Bọc Sứ Được Không? Lời Khuyên Từ Bác Sĩ

Răng Lộn Xộn Có Bọc Sứ Được Không? Lời Khuyên Từ Bác Sĩ

Sở hữu một hàm răng trắng sáng và đều đặn là niềm mong ước của tất cả mọi người. Tuy nhiên, không phải ai cũng có được may mắn này. Trên thực tế, rất nhiều người có khuyết điểm về răng miệng, điển hình là tình trạng răng lộn xộn và sai khớp cắn. Răng lộn xộn có bọc sứ được không? Những lợi ích mà phương pháp này mang lại là gì? Hãy cùng các chuyên gia của SHINING SMILE với kinh nghiệm bọc răng sứ uy tín tại Hà Nội, giải đáp thông qua bài viết dưới đây nhé!
Chi tiết
Lựa Chọn Giữa Trồng Răng Sứ và Bọc Răng Sứ: Đâu Là Giải Pháp Tốt Nhất Cho Bạn?

Lựa Chọn Giữa Trồng Răng Sứ và Bọc Răng Sứ: Đâu Là Giải Pháp Tốt Nhất Cho Bạn?

Bọc răng sứ và trồng răng sứ thực chất là hai kỹ thuật khác biệt trong nha khoa, hướng đến các trường hợp phục hình khác nhau. Tuy nhiên, có không ít người nhầm lẫn giữa hai kỹ thuật này. Vậy làm cách nào để phân biệt chính xác? Hãy theo dõi ngay bài viết dưới đây của SHINING SMILE để so sánh chi tiết bọc răng sứ và trồng răng sứ nhé!
Chi tiết
Tháo Răng Sứ Có Đau Không? Những Điều Cần Lưu Ý

Tháo Răng Sứ Có Đau Không? Những Điều Cần Lưu Ý

Tháo răng sứ cũ để thay mới là phương án được chỉ định trong nhiều trường hợp như thay mới răng sứ, răng sứ hết tuổi thọ, hoặc bọc sứ gặp biến chứng. Vậy tháo răng sứ có đau không? Tại SHINING SMILE, việc này hoàn toàn không gây ảnh hưởng đến sức khỏe và không gây đau nhức nếu được thực hiện bởi các chuyên gia nha khoa uy tín.
Chi tiết
Mất Răng Số 7: Có Thể Niềng Răng Để Khắc Phục Không?

Mất Răng Số 7: Có Thể Niềng Răng Để Khắc Phục Không?

Việc mất răng số 7 thường đặt ra câu hỏi liệu có thể áp dụng phương pháp niềng răng để khắc phục không. Đây là mối quan tâm của nhiều người, bởi lẽ tìm được phương pháp thích hợp có thể giúp phục hồi chức năng cũng như thẩm mỹ cho hàm răng. Tại Nha Khoa Shining Smile, chúng tôi hiểu được tầm quan trọng của việc lựa chọn đúng phương pháp điều trị trong các trường hợp mất răng, đặc biệt là răng số 7. Bài viết sau đây sẽ cung cấp thông tin chi tiết về khả năng và các phương pháp niềng răng có thể áp dụng cho những trường hợp như vậy, giúp bạn hiểu rõ hơn về các lựa chọn có sẵn và quyết định phù hợp nhất cho tình trạng của mình.
Chi tiết
Niềng Răng ở Tuổi 19: Thời Gian Cần Thiết Và Cách Rút Ngắn Quá Trình Điều Trị

Niềng Răng ở Tuổi 19: Thời Gian Cần Thiết Và Cách Rút Ngắn Quá Trình Điều Trị

Niềng răng chỉnh nha là phương pháp hiệu quả để điều chỉnh các răng mọc sai lệch, phù hợp cho mọi lứa tuổi, đặc biệt là các bạn trẻ ở độ tuổi 19. Bạn đang thắc mắc ở tuổi 19, niềng răng cần bao lâu và làm thế nào để có thể rút ngắn thời gian điều trị? Tại Nha Khoa Shining Smile, chúng tôi hiểu rằng việc này rất quan trọng đối với bạn, đặc biệt là trong giai đoạn chuẩn bị bước vào đời sống sinh viên hoặc sự nghiệp. Bài viết sau đây sẽ cung cấp thông tin chi tiết về thời gian điều trị cần thiết cũng như các phương pháp có thể giúp rút ngắn quá trình niềng răng, giúp bạn có được nụ cười đẹp một cách nhanh chóng và hiệu quả.
Chi tiết
Niềng Răng Nanh: Giải Pháp Hiệu Quả Cho Răng Mọc Lệch Và Ngầm

Niềng Răng Nanh: Giải Pháp Hiệu Quả Cho Răng Mọc Lệch Và Ngầm

Răng nanh mọc ngầm hoặc mọc lệch không chỉ gây ra vấn đề về thẩm mỹ mà còn có thể ảnh hưởng đến chức năng nhai và sức khỏe răng miệng tổng thể. Để giải quyết những vấn đề này, niềng răng nanh là phương pháp được nhiều người lựa chọn. Tại Nha Khoa Shining Smile, chúng tôi sử dụng các kỹ thuật niềng răng tiên tiến nhất để cải thiện vị trí của răng nanh, mang lại cho bạn một nụ cười đẹp và khỏe mạnh. Hãy theo dõi bài viết sau để hiểu rõ hơn về quy trình và những lợi ích mà việc niềng răng nanh có thể mang lại. Niềng răng nanh là nhu cầu của nhiều người trong những trường hợp cần thiết​
Chi tiết
Niềng Răng Có Tiêm Filler Được Không? Hướng Dẫn Và Lưu Ý

Niềng Răng Có Tiêm Filler Được Không? Hướng Dẫn Và Lưu Ý

Niềng răng có tiêm filler được không? là câu hỏi thường gặp của những ai đang theo đuổi cả niềng răng và các liệu pháp thẩm mỹ khác. Tại Nha Khoa Shining Smile, chúng tôi hiểu rằng kết hợp các phương pháp thẩm mỹ này có thể mang lại lợi ích đáng kể cho ngoại hình và sự tự tin của bạn. Tuy nhiên, điều quan trọng là phải hiểu rõ các yếu tố liên quan để đảm bảo tính an toàn và hiệu quả của việc này. Bài viết sau đây sẽ cung cấp cho bạn cái nhìn tổng quan và các lưu ý cần thiết khi quyết định tiêm filler trong khi đang điều trị chỉnh nha, giúp bạn có những lựa chọn thông minh và an toàn.
Chi tiết
Niềng Răng Có Nên Dùng Bàn Chải Điện Không? Tìm Hiểu Lợi Ích Và Hướng Dẫn Sử Dụng

Niềng Răng Có Nên Dùng Bàn Chải Điện Không? Tìm Hiểu Lợi Ích Và Hướng Dẫn Sử Dụng

Niềng răng là một quá trình yêu cầu sự kiên nhẫn và chăm sóc kỹ lưỡng để đảm bảo vệ sinh răng miệng luôn ở trạng thái tốt nhất. Trong thời gian này, việc chọn loại bàn chải phù hợp để làm sạch răng là hết sức quan trọng. Gần đây, bàn chải điện đã trở thành công cụ được nhiều người ưa chuộng, nhờ khả năng làm sạch hiệu quả cao. Tuy nhiên, đối với những người niềng răng, liệu bàn chải điện có thực sự phù hợp? Tại Nha Khoa Shining Smile, chúng tôi sẽ cùng bạn khám phá các lợi ích của việc sử dụng bàn chải điện trong quá trình niềng răng và cung cấp những lời khuyên hữu ích để bạn có thể quản lý sức khỏe răng miệng của mình một cách tối ưu nhất.
Chi tiết
Niềng Răng Cho Trẻ Chưa Thay Hết Răng: Thời Điểm Và Khuyến Nghị

Niềng Răng Cho Trẻ Chưa Thay Hết Răng: Thời Điểm Và Khuyến Nghị

Can thiệp sớm các vấn đề về răng miệng ở trẻ em không chỉ giúp uốn nắn răng mà còn rút ngắn thời gian đeo niềng và cải thiện hiệu quả điều trị. Tuy nhiên, một câu hỏi thường gặp là liệu trẻ em chưa thay hết răng sữa có thể niềng răng hay không. Tại Nha Khoa Shining Smile, chúng tôi nhận thấy rằng việc xác định thời điểm thích hợp để bắt đầu niềng răng cho trẻ là cực kỳ quan trọng. Bài viết này sẽ giải đáp mọi thắc mắc về khả năng và thời điểm niềng răng cho trẹ chưa thay hết răng, giúp phụ huynh có được cái nhìn tổng quan và quyết định chính xác nhất cho con em mình.
Chi tiết
Tật Đẩy Lưỡi Khi Niềng Răng: Ảnh Hưởng Và Giải Pháp Khắc Phục

Tật Đẩy Lưỡi Khi Niềng Răng: Ảnh Hưởng Và Giải Pháp Khắc Phục

Tật đẩy lưỡi, một thói quen xấu thường gặp ở trẻ nhỏ và có thể tiếp tục tồn tại ở người lớn, là một trong những vấn đề có thể làm ảnh hưởng nghiêm trọng đến hiệu quả của quá trình niềng răng. Vấn đề này không chỉ gây ra những biến đổi về răng và khớp cắn mà còn có thể ảnh hưởng đến khả năng phát âm. Đặc biệt trong trường hợp các bệnh nhân đã có tật đẩy lưỡi, tình trạng hô và khe thưa giữa các răng cửa có thể trở nên tồi tệ hơn. Tại Nha Khoa Shining Smile, chúng tôi nhận thức rõ mức độ nghiêm trọng của tật này và sẵn sàng cung cấp các giải pháp điều trị hiệu quả. Hãy cùng chúng tôi khám phá những hậu quả và biện pháp khắc phục tật đẩy lưỡi trong quá trình niềng răng trong bài viết dưới đây.
Chi tiết
Nha khoa Shining Smile
HƠN 50.000 KHÁCH HÀNG
Đã làm đẹp an toàn và sở hữu nụ cười rạng rỡ 
tự tin tại Shining Smile
Được cấp phép hoạt động
NHA KHOA SHINING SMILE
Địa chỉ tin cậy cho khách hàng
Nha khoa thẩm mỹ Shining Smile nhanh chóng trở thành địa điểm tin cậy của hàng nghìn khách hàng trong và ngoài nước, đưa Shining Smile vào top những Nha khoa uy tín, được tìm kiếm hàng đầu hiện nay. Nhờ đội ngũ bác sĩ Răng – Hàm – Mặt chuyên môn cao, giàu kinh nghiệm cùng hệ thống dịch vụ nha khoa toàn diện như răng sứ thẩm mỹ, niềng răng – chỉnh nha, trồng răng Implant, điều trị nha khoa tổng quát và chuyên sâu, thẩm mỹ nụ cười cá nhân hoá, cam kết điều trị chuẩn y khoa, an toàn, bền đẹp lâu dài và luôn đặt sức khỏe răng miệng của khách hàng lên hàng đầu.
Nha khoa Shining Smile
CẢM NHẬN TRỰC TIẾP TỪ KHÁCH HÀNG
Đã làm đẹp an toàn và sở hữu nụ cười rạng rỡ tự tin tại Shining Smile
Chia Sẻ Của MC Hồng Nhung
TỪ KHI ĐẾN SHINING SMILE LÀM RĂNG
"Chị Tự Tin Hơn Trong Cuộc Sống Và Công Việc"


Nha Khoa Thẩm Mỹ Shining Smile
8 LÝ DO NÊN CHỌN SHINING SMILE
Chị Tự Tin Hơn Trong Cuộc Sống Và Công Việc
NHỮNG CÂU HỎI THƯỜNG GẶP
Nha khoa thẩm mỹ Shining Smile nhanh chóng trở thành địa điểm tin cậy của hàng nghìn khách hàng trong và ngoài nước, 
đưa Shining Smile vào top những Nha khoa uy tín, được tìm kiếm hàng đầu hiện nay
Là một trong số ít phòng khám có đầy đủ phòng chụp phim, máy quét dấu răng iTero Lumina hiện đại nhất thế giới.
Yên tâm điều trị với đội ngũ bác sĩ tận tâm, giàu kinh ngiệm, chỉ tập trung chuyên sâu nghiên cứu trồng răng Implant. Đội ngũ Bác sĩ Dr. Care đã điều trị thành công cho hơn 3.500 trường hợp mất răng, từ đơn giản đến tình trạng phức tạp (mất răng lâu năm, xương hàm tiêu biến nhiều, mất nhiều răng).

Trang thiết bị chuyên sâu, đặt implant chính xác từng Micromet, giảm sang chấn tối đa, giúp quá trình trồng răng Implant diễn ra nhẹ nhàng, thoải mái, an toàn.
Tại Dr. Care, bất cứ dụng cụ, thiết bị nha khoa có tiếp xúc trực tiếp hay gián tiếp trên khách hàng đều phải được giữ vô khuẩn. Thậm chí cả không khí, sàn nhà và dép đi trong phòng đều được vô trùng bằng biện pháp riêng biệt.

Tại Dr. Care, tiêu chuẩn lựa chọn các dòng trụ Implant rất khắt khe. Trụ Implant được sử dụng phải có hơn 10 năm ứng dụng lâm sàng, có giấy chứng nhận FDA, nghiên cứu khoa học đa dạng. Chứng thực với hàng ngàn ca điều trị thành công.

Bác sĩ  sẽ phân tích tình trạng mất răng, các vấn đề răng miệng,.. Sau khi Cô Chú, Anh Chị hiểu rõ về tình trạng răng miệng cá nhân, Bác sĩ Dr. Care sẽ xây dựng một kế hoạch điều trị chi tiết, thảo luận để đạt được sự đồng thuận về số lượng răng cần điều trị, chọn loại trụ Implant phù hợp
Các kỹ thuật phục hình Implant ngày càng phát triển giúp răng sau khi phục hình hài hòa, đẹp tự nhiên về hình dáng lẫn màu sắc, cho khách hàng sở hữu nụ cười tự tin với hàm răng đẹp.
Thời gian bảo hành lên tới 50 năm, cam kết trợ chăm sóc khách hàng trọn đời.
Nha Khoa Thẩm Mỹ Shining Smile
SHINING SMILE VÀ KHÁCH HÀNG
Chị Tự Tin Hơn Trong Cuộc Sống Và Công Việc
HÌNH BÀN DỰ ÁN
Dự án chung cư cao cấp của Vinhomes Grand Park