ƯU ĐÃI ĐẾN 70% KHI
ĐĂNG KÍ ONLINE
THÔNG TIN CỦA QUÝ KHÁCH
HOÀN TOÀN BẢO MẬT
Theo các chuyên gia răng hàm mặt, răng thưa là tình trạng các răng trên cùng một hàm mọc khá xa nhau, có kẻ hở. Hoặc răng mọc không đầy đủ, thiếu đồng đều. Những ai rơi vào trường hợp này sẽ khó khăn trong quá trình ăn uống và vệ sinh răng miệng. Bởi khi ăn, những thức ăn nhỏ, dai sẽ bám sâu vào kẻ răng. Bên cạnh đó, răng thưa khiến việc phát âm của bạn không được chuẩn xác và còn là nguyên nhân khiến sai lệch khớp căn. Vì vậy, bạn cần phải điều trị nhanh chóng để cấu trúc xương hàm về đúng vị trí.

Răng thưa cơ bản không phải là một bệnh lý trực tiếp gây tổn hại cho sức khỏe con người. Nhưng nó là nguyên nhân trực tiếp làm mất thẩm mỹ khuôn miệng và khuôn mặt của chủ nhân.
Răng thưa hoàn toàn có thể khắc phục dứt điểm bởi sự tiên tiến của nha khoa trong thời đại này. SHINING SMILE sẽ giới thiệu tới bạn những cách phục hình răng thưa hiệu quả nhất hiện nay đang được mọi người lựa chọn phổ biến.
Trám răng được xem là một giải pháp nha khoa áp dụng rộng rãi để phục hình răng trong những phạm vị nhất định. Những ai rơi vào trường hợp như bị mòn cổ răng, răng thưa, hở kẽ nhỏ hoặc răng bị chấn thương, gãy, mẻ. Phương pháp này xử lý khuyết điểm bằng cách lấp đầy khoảng trống của răng với những vật liệu chuyên dụng, răng sẽ được trám thẩm mỹ lại một cách tự nhiên.
Ưu điểm: Tiết kiệm chi phí thực hiện. Không tốn nhiều thời gian, bạn chỉ mất từ 30-40 phút là đã có được hàm răng đều tăm tắp. Hạn chế được những tổn thương cho men, nướu răng vì không phải mài răng
Nhược điểm: Sau khi trám, răng phải giữ gìn cẩn thận. Không được ăn và uống đồ cay nóng, lạnh hoặc thực phẩm quá cứng nhằm đề phòng trường hợp vết trám bị sút. Vì chỉ sử dụng vật liệu trám nên sau một thời gian dài chúng ta phải quay để trám thay thế. Chỉ áp dụng cho các khoảng răng thưa bé hơn hoặc bằng 2mm. Nên các trường hợp kẻ hở lớn hơn không sử dụng được phương pháp này.

Điều trị răng thưa bằng phương pháp trám thẩm mỹ
Nhiều khách hàng gặp tình trạng răng thưa và đang loay hoay đi tìm giải pháp cho nụ cười tỏa sáng. Thì bọc răng sứ thẩm mỹ được xem là giải pháp đáng để bạn lựa chọn. Vì sao SHINING SMILE khuyên bạn như vậy? Đây là lí do:
- Bọc răng sứ mang lại hiệu quả cao, độ bền, độ thẩm mỹ tuyệt vời.
- Có thể duy trì dài lâu, ổn định khi được phục hình đúng kỹ thuật và chăm sóc tốt
- Răng bạn sẽ bóng đẹp một cách tự nhiên, cứng và bền y hệt răng thật.
Điều đó cũng đồng nghĩa chi phí cho mỗi lần bọc răng sứ sẽ cao hơn so với trám bít răng. Và nhược điểm duy nhất đối với phương pháp này chính là cần mài men răng.
Để tránh những tổn thương cho tủy răng, bạn cần chọn nha khoa uy tín với bác sĩ chuyên khoa có kinh nghiệm, kỹ thuật cao. Bởi tỷ lệ mài răng ở mỗi cá nhân hoàn toàn khác nhau, nên việc lựa chọn nha khoa chất lượng.
Dán sứ veneer trực tiếp lên trên mặt răng để thay thế lớp men răng thật trong trường hợp khách hàng muốn có một lớp men trắng sáng, bóng đẹp và thẩm mỹ. Phương pháp này không cần mài răng hoặc mài siêu mỏng chỉ từ 0.3 – 0.5mm nhưng vẫn đảm bảo đóng khe thưa giúp bạn sở hữu nụ cười "như mùa thu tỏa nắng". Với các ưu điểm tuyệt vời như:
Màu răng tự nhiên, bảo vệ tối đa răng gốc, nhiều trường hợp không thực hiện mài răng
Thời gian thực hiện nhanh chóng, nhẹ nhàng.
Đây là phương pháp điều trị răng thưa hiệu quả được nhiều khách hàng lựa chọn nhất hiện nay bởi độ bền cao, hiệu quả và chi phí phù hợp.
Niềng răng là phương pháp can thiệp trực tiếp vào cấu trúc xương hàm và răng của bạn dựa vào lực tác động của các khí cụ chuyên dụng như mắc cài, dây cung. Phương pháp này được thực hiện nhằm đưa các răng về đúng vị trí, khớp cắn chuẩn hỗ trợ việc ăn nhai, giúp gương mặt hài hòa hơn, bảo vệ sức khỏe răng miệng tốt nhất.

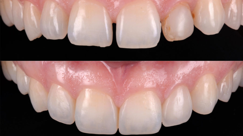
Điều trị răng thưa hiệu quả tại SHINING SMILE
Tùy thuộc vào nhu cầu và vấn đề của từng khách hàng, bác sĩ sẽ có những giải pháp cụ thể dành riêng cho bạn. Tuy nhiên, SHINING SMILE khuyên bạn nên sử dụng phương pháp Bọc răng sứ và Dán sứ Veneer để khắc phục tình trạng răng thưa của mình. Nếu có bất kỳ thắc mắc nào cần được tư vấn, hãy liên hệ với ngay với chúng tôi để được tư vấn hoàn toàn miễn phí.
ƯU ĐÃI ĐẾN 70% KHI
ĐĂNG KÍ ONLINE
THÔNG TIN CỦA QUÝ KHÁCH
HOÀN TOÀN BẢO MẬT