ƯU ĐÃI ĐẾN 70% KHI
ĐĂNG KÍ ONLINE
THÔNG TIN CỦA QUÝ KHÁCH
HOÀN TOÀN BẢO MẬT

Răng sứ Ceramco
Răng sứ Ceramco thuộc dòng răng sứ kim loại. Vì có cấu tạo bởi 2 lớp. Lớp bên trong được tạo ra bởi hợp kim Ni-Cr hoặc CR-Co. Lớp bên ngoài thì phủ bởi một lớp sứ Ceramco để giúp răng có màu sắc trắng sáng tự nhiên như răng thật.
Răng sứ Ceramco có xuất xứ từ Mỹ. Chính vì thế dòng răng sứ này sở hữu được công nghệ chế tác Mỹ nên dù là răng sứ kim loại, vẫn đảm bảo được tính thẩm mỹ nhất định. Đồng thời độ bền có thể sử dụng đến 5 năm hoặc hơn nếu có chế độ chăm sóc răng tốt.
Để biết răng sứ Ceramco có tốt không hãy xét về ưu và nhược điểm của dòng răng sứ này.
– Ưu điểm:
Chất liệu sứ lành tính, an toàn
Răng sứ Ceramco có phần lõi bên trong là kim loại cao cấp, bên ngoài được phủ thêm một lớp sứ lành tính. Cả 2 đều được kiểm duyệt và đảm bảo an toàn với cơ thể.
Răng bền chắc, ăn nhai tốt
Răng sứ Ceramco có độ bền cao và có khả năng chịu lực tương đối tốt. Khách hàng sau khi bọc sứ Ceramco có thể ăn nhai thoải mái mà không cần lo về các vấn đề như: Nứt, mẻ răng sứ,…
Chi phí tiết kiệm
Vì là răng sứ kim loại nên Ceramco có mức giá khá rẻ. Đây là một trong những dòng răng sứ giúp khách hàng tiết kiệm được chi phí tốt nhất.

Răng sứ Ceramco lành tính, an toàn với cơ thể
– Nhược điểm:
Hạn chế về mặt thẩm mỹ
Nếu bạn dùng răng sứ Ceramco để bọc cho những chiếc răng cửa thì đây chưa phải là sự lựa chọn hoàn hảo. Bởi răng sứ Ceramco chưa đáp ứng tốt về độ phản quang, độ trong, đường vân răng,…Hầu hết bác sĩ sẽ khuyến khích sử dụng răng toàn sứ để bọc cho răng cửa.
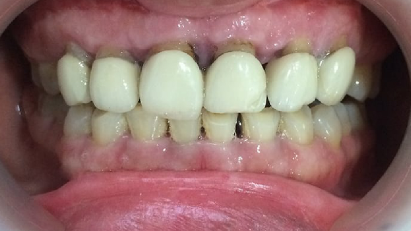
Bị đen viền nướu
Do cấu tạo với lớp sườn bên trong bằng kim loại, nên sau một thời gian sử dụng, khoảng 3-4 năm, lớp sườn sẽ bị oxi hóa, gây ra tình trạng thâm đen viền nướu.

Răng sứ Ceramco gây đen viền nướu
Tuổi thọ ngắn
Răng sứ Ceramco có tuổi thọ khá ngắn chỉ vài năm. Đây cũng chính là nhược điểm lớn của dòng răng sứ này.
Răng sứ Ceramco sẽ tốt nếu nhu cầu thẩm mỹ của bạn không quá cao. Ngược lại, thì đây chưa phải là loại răng sứ tốt nhất.

Cẩn thận với những quảng cáo bọc sứ giá rẻ
Mức giá bọc sứ Ceramco sẽ khác nhau tùy vào chế độ của từng nha khoa. Trung bình sẽ dao động từ 1 – 3 triệu đồng. Đây là mức giá thị trường, nếu rẻ hơn con số này bạn cần cẩn thận. Vì đó có thể chỉ là những chiêu trò quảng cáo. Khi thực hiện sẽ sử dụng răng sứ kém chất lượng cho khách hàng dẫn đến nhiều hệ lụy. Ngoài ra, tại nha khoa SHINING SMILE cũng đã có chương trình bọc sứ trả góp 0% lãi suất, bạn có thể tham khảo để giảm bớt gánh nặng về chi phí.
ƯU ĐÃI ĐẾN 70% KHI
ĐĂNG KÍ ONLINE
THÔNG TIN CỦA QUÝ KHÁCH
HOÀN TOÀN BẢO MẬT