ƯU ĐÃI ĐẾN 70% KHI
ĐĂNG KÍ ONLINE
THÔNG TIN CỦA QUÝ KHÁCH
HOÀN TOÀN BẢO MẬT
Mất răng toàn hàm là tình trạng toàn bộ răng đều bị mất đi do một số nguyên nhân khác nhau. Có 3 nguyên nhân chủ yếu dẫn đến tình trạng mất răng toàn hàm, gồm:
Viêm nha chu kéo dài không chỉ ảnh hưởng đến phần nướu răng, mà có thể làm ảnh hưởng đến cả xương ổ răng, gây nên tình trạng rụng răng, mất răng.
Sâu răng hay nhiễm trùng chóp chân răng khiến tủy răng bị ảnh hưởng. Khi tủy răng bị viêm thì các chân răng sẽ lung lay, lâu ngày khiến răng bị rụng.
Một số chấn thương ở vùng đầu, mặt hay cổ có thể ảnh hưởng đến toàn bộ phần hàm răng. Trường hợp nặng có thể dẫn đến tình trạng mất răng toàn hàm.

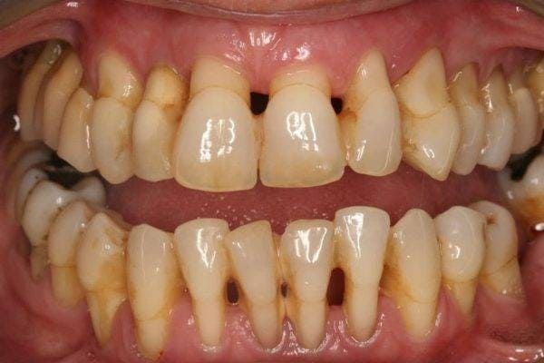
Viêm nha chu là một trong những nguyên nhân gây mất răng toàn hàm
Không chỉ đảm nhiệm chức năng ăn nhai, hàm răng còn đóng vai trò thẩm mỹ trên gương mặt. Vì vậy nếu mất răng toàn hàm, không chỉ ảnh hưởng đến khả năng ăn nhai, tiêu hóa mà còn khiến thẩm mỹ suy giảm cũng như một số biến chứng khác.
Khi hàm răng bị mất đi, quá trình ăn nhai không thể thực hiện được, hoặc thực hiện một cách sơ sài. Thức ăn khi xuống dạ dày gần như vẫn còn nguyên, khiến cho việc tiêu hóa bị ảnh hưởng.
Khi bị mất răng lâu năm, nướu răng cũng dần mất đi. Đồng thời hoạt động ăn nhai không được thực hiện, xương hàm không được tác động lực nhai, lâu ngày sẽ dần tiêu biến, hay còn gọi là tiêu xương hàm. Nếu để tình trạng tiêu xương hàm xảy ra thì việc can thiệp bằng các phương pháp phục hình cũng trở nên khó khăn hơn.
Khi bị mất răng thì hiển nhiên sẽ ảnh hưởng đến thẩm mỹ cả khuôn mặt. Nụ cười sẽ trở nên kém duyên hơn, người bệnh trở nên thiếu tự tin khi giao tiếp. Những trường hợp bị tiêu xương hàm khiến cấu trúc khuôn mặt thay đổi, da và cơ bị chùng xuống, từ đó dẫn đến tình trạng lão hóa sớm, trông già hơn trước tuổi.
Mất răng toàn hàm tuy không ảnh hưởng nghiêm trọng đến tính mạng, nhưng nếu để lâu có thể gây nên những biến chứng nặng nề, ảnh hưởng đến sức khỏe và tinh thần người bệnh. Vì vậy, lựa chọn và can thiệp bằng những phương pháp phục hình phù hợp chính là giải pháp tối ưu và cấp bách cho người bệnh.
Hiện nay có 3 phương pháp phục hình được áp dụng phổ biến, đó là hàm tháo lắp cổ điển, hàm phủ trên implant và phục hình toàn hàm All on 4/ All on 6.
Khi mà công nghệ tiên tiến chưa xuất hiện thì hàm tháo lắp chính là phương pháp xuất hiện sớm nhất và lâu đời nhất. Hàm giả tháo lắp là mô hình hàm gồm răng và lợi giả được làm từ nhựa, được gắn trực tiếp lên nướu để thay thế cho hàm răng thật đã mất. Phương pháp này có những ưu và nhược điểm sau:
• Ưu điểm
• Nhược điểm

Phương pháp răng giả tháo lắp cổ điển
Để khắc phục các khuyết điểm của hàm giả tháo lắp, thì phương pháp phục hình bằng hàm phủ trên implant xuất hiện. Hàm phủ trên implant vẫn là phương pháp sử dụng hàm giả, nhưng thay vì gắn trực tiếp trên nướu như phương pháp cổ điển, thì hàm sẽ được cố định bằng các implant có liên kết với các khóa cài để cố định hàm giả. Phương pháp hàm phủ trên implant có 2 loại phổ biến:
Khóa cài implant bằng bi: Các implant gắn trong xương hàm sẽ được gắn trực tiếp với hàm giả bằng các khóa cài hình bi, khóa cài này sẽ ăn khớp với ổ chứa trên hàm giả.
Khóa cài bằng thanh bar: Các implant trong hàm sẽ được gắn với một thanh bar mỏng. Phía trên thanh bar sẽ có các khóa cài để liên kết chặt thanh bar với hàm giả.
• Ưu điểm
• Nhược điểm

Phục hình bằng phương pháp hàm trên implant bằng bi
Phục hình toàn hàm All on 4/ all on 6 là phương pháp tân tiến, sử dụng 4 hoặc 6 trụ implant cấy vào xương hàm, nhằm cố định và nâng đỡ hàm giả. Sau khi thăm khám, kiểm tra, bác sĩ sẽ xác định vị trí phù hợp để cắm các trụ implant trong xương hàm nhằm mang lại khả năng chống đỡ tốt nhất, cũng như phân bố đồng đều lực nhai của toàn hàm lên các trụ.
• Ưu điểm
• Nhược điểm
Chú Hùng (65 tuổi) đến khám tại nha khoa SHINING SMILE với nhiều vấn đề về răng, như bị mất răng, hàm trên bị nhiễm trùng nặng, hàm dưới lỏng lẻo khiến chú gặp nhiều đau đớn và bất tiện trong sinh hoạt. Sau khi thăm khám, các chuyên gia SHINING SMILE đưa ra phác đồ điều trị gồm: nhổ răng, cấy ghép implant all on 6 và tái tạo toàn bộ khớp cắn. Kết quả là chú đã có một hàm răng mới chắc khỏe với khớp cắn chuẩn, giúp phục hồi lại khả năng ăn nhai và mang đến nụ cười tự nhiên.
Hãy để Shining Smile đồng hành cùng bạn trên hành trình lấy lại nụ cười rạng rỡ và tận hưởng cuộc sống trọn vẹn. Với đội ngũ bác sĩ dày dặn kinh nghiệm, tay nghề cao cùng trang thiết bị hiện đại bậc nhất, Shining Smile cam kết mang đến cho bạn dịch vụ phục hình toàn hàm trên implant chất lượng cao, an toàn và hiệu quả.
ƯU ĐÃI ĐẾN 70% KHI
ĐĂNG KÍ ONLINE
THÔNG TIN CỦA QUÝ KHÁCH
HOÀN TOÀN BẢO MẬT