ƯU ĐÃI ĐẾN 70% KHI
ĐĂNG KÍ ONLINE
THÔNG TIN CỦA QUÝ KHÁCH
HOÀN TOÀN BẢO MẬT
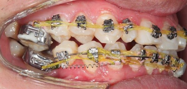
Niềng răng được đánh giá là phương pháp chỉnh nha hiệu quả giúp bạn có hàm răng đều, đẹp và khỏe. Tuy nhiên, đã có rất nhiều trường hợp niềng răng không thành công nhưng nhiều người lại không thể nhận biết được. Vì vậy, trước hết thì bạn cần tìm hiểu về những dấu hiệu cho thấy ca niềng răng thất bại. Những dấu hiệu này đã được nha khoa SHINING SMILE tổng hợp ngay dưới đây!
Dấu hiệu đầu tiên cho thấy ca niềng răng của bạn không thành công đó chính là chân răng lệch, bị tiêu chân răng hoặc thậm chí là gãy răng. Niềng răng tức là tác động lực để căn chỉnh, dịch chuyển răng về vị trí mong muốn trên cung hàm. Tuy nhiên, nếu như thực hiện sai kỹ thuật, tác động lực quá mạnh khiến răng dịch chuyển quá nhanh sẽ khiến cho chân răng của bạn bị tiêu hoặc thậm chí là gãy răng.
Nhiễm trùng nướu là dấu hiệu phổ biến nhất của trường hợp niềng răng không thành công. Khi mà tác động lực quá nhiều lên răng và nướu hoặc sử dụng các dụng cụ không sát trùng khiến cho nướu bị viêm, sưng và nếu như không chữa trị kịp thời thì sẽ khiến cho bạn bị viêm nha chu, gây đau nhức và khó chịu.
Mục đích của niềng răng không chỉ căn chỉnh răng đều mà còn giúp khuôn mặt thêm hài hòa, răng cửa thẳng hàng với nhân trung. Tuy nhiên, việc niềng răng sai kỹ thuật sẽ dẫn đến tình trạng lệch nhân trung, gây mất thẩm mỹ một cách nặng nề.
Một dấu hiệu nữa của việc niềng răng không thành công đó là niềng răng xong mà bạn vẫn bị răng hô/móm, không cải thiện được những vấn đề về răng mà bạn gặp phải trước đó.

Việc niềng răng là một quy trình phức tạp và đòi hỏi sự chuyên nghiệp từ bác sĩ nha khoa. Tuy nhiên, đôi khi có thể xảy ra tình trạngniềng răng không thành công, khiến kết quả không đạt được như mong đợi. Có nhiều nguyên nhân dẫn tới việc niềng răng thất bại, bao gồm sai sót trong quá trình điều trị, không tuân thủ hướng dẫn sau niềng răng, sự phụ thuộc vào công nghệ không đáp ứng được kỳ vọng, và nhiều yếu tố khác. Hãy cùng Nha khoa SHINING SMILE tìm hiểu ngay nguyên nhân bên dưới:
Cũng giống như dấu hiệu cho thấy niềng răng thất bại thì nếu như trong quá trình niềng răng mà chân răng của bạn bị tiêu, lệch hoặc bị gãy mà không có phương pháp giải quyết kịp thời, hiệu quả thì cũng có thể khiến cho kết quả niềng răng của bạn thất bại.
Các vấn đề về nha khoa mà bạn gặp phải trong quá trình niềng răng nhưng không được chữa trị kịp thời như nhiễm trùng nướu, viêm nha chu cũng là nguyên nhân khiến cho ca niềng răng của bạn thất bại.
Một nguyên nhân nữa mà bạn có thể thấy khi mà niềng răng thất bại đó là nhân trung của bạn lệch quá nhiều, khó điều chỉnh và chỉ có thể can thiệp khi phẫu thuật thẩm mỹ.
Nguyên nhân dẫn đến vấn đề niềng răng thất bại và khiến cho sau khi niềng răng bạn vẫn bị hô hoặc móm có thể là do nguyên nhân hô/móm của bạn do xương hàm và niềng răng chỉ có thể cải thiện được 1 phần mà thôi.

tại sao niềng răng thất bại
Để niềng răng hiệu quả thì việc tuân theo chỉ dẫn của bác sĩ là vô cùng quan trọng. Tuy nhiên, có nhiều người lại bỏ qua điều đó, không chú ý đến việc tái khám, ăn uống hoặc vệ sinh răng miệng. Đây cũng là nguyên nhân được biết đến là dẫn đến vấn đề niềng răng thất bại.
Hàm duy trì là khí cụ giúp bạn cố định răng, tránh việc khiến cho răng bị dịch chuyển sau khi tháo niềng răng. Sau khi hoàn tất quá trình niềng răng thì bạn sẽ được nha khoa cấp cho hàm duy trì để đeo và thời gian đeo hàm duy trì cũng được nha khoa đưa ra từ đầu. Tuy nhiên, có nhiều người lại không đeo hàm duy trì đủ lâu khiến cho răng chạy lại.
Tay nghề của bác sĩ cũng là một yếu tố vô cùng quan trọng trong niềng răng chỉnh nha và đem đến kết quả niềng răng mỹ mãn. Vì vậy, nếu như bác sĩ chỉnh nha không có nhiều kinh nghiệm thì có thể khiến cho ca niềng răng không thành công.
Nhiều người cho rằng niềng răng sẽ khiến cho họ trông đẹp hơn, răng đều và trắng sáng như răng sứ. Tuy nhiên, có một sự thật là niềng răng chỉ giúp điều chỉnh khớp cắn, độ điều của răng và thay đổi khuôn mặt đôi chút. Tức là răng cũng vẫn là răng thật của bạn, chỉ khác ở chỗ răng sẽ đều hơn, chuẩn khớp cắn chứ không thể đẹp như phẫu thuật thẩm mỹ. Nhiều người thấy kết quả chỉnh nha không như kỳ vọng đã cho rằng chỉnh nha thất bại.
Thêm một nguyên nhân khiến niềng răng không thành công đó là thiết bị chỉnh nha của nha khoa kém chất lượng, không đảm bảo vô trùng khiến cho bạn bị các vấn đề như viêm nha chu, viêm nướu hoặc các thiết bị tác động lực quá lớn khiến răng bạn bị lệch.
Việc không tái khám đúng lịch hẹn cũng khiến cho quá trình niềng răng bị kéo dài, răng dịch chuyển mất kiểm soát, mất thẩm mỹ.
Niềng răng không thành công có thể khiến cho khuôn mặt của bạn lệch hơn, mất thẩm mỹ và thậm chí nó còn khiến bạn bị tiêu xương ổ răng, tiêu chân răng,… nếu không giải quyết kịp thời thì rất nguy hiểm và có thể khiến cho bạn bị mất răng vĩnh viễn.
Niềng răng thất bại có thể dẫn đến những hậu quả như răng trở nên yếu đi và nhạy cảm hơn, sức chịu lực của răng kém hơn, sức nhai cũng giảm so với khi chưa niềng răng. Bên cạnh đó còn mất thẩm mỹ về cả hàm răng lẫn khuôn mặt, răng lung lay, mất răng sớm do bị tiêu xương ổ răng.
Khi đã nắm được những nguyên nhân và hậu quả của việc niềng răng thất bại thì rất nhiều người quan tâm đến vấn đề làm thế nào để khắc phục niềng răng thất bại.

Làm thế nào để khắc phục niềng răng không thành công?
Trên đây, nha khoa SHINING SMILE đã đem đến cho bạn những thông tin như nguyên nhân, dấu hiệu nhận biết và cách khắc phục vấn đề niềng răng không thành công. Nếu như muốn niềng răng an toàn, không lo lắng về những vấn đề như niềng thất bại hay để lại biến chứng thì bạn hãy lựa chọn nha khoa uy tín như nha khoa SHINING SMILE. Đừng quên liên hệ với nha khoa SHINING SMILE qua số hotline 039775 8888; Địa chỉ tại Số 47 Khúc Thừa Dụ, Q. Cầu Giấy, TP. Hà Nội.
ƯU ĐÃI ĐẾN 70% KHI
ĐĂNG KÍ ONLINE
THÔNG TIN CỦA QUÝ KHÁCH
HOÀN TOÀN BẢO MẬT