ƯU ĐÃI ĐẾN 70% KHI
ĐĂNG KÍ ONLINE
THÔNG TIN CỦA QUÝ KHÁCH
HOÀN TOÀN BẢO MẬT
Invisalign là phương pháp chỉnh nha sử dụng khí cụ là chuỗi khay niềng trong suốt. Niềng răng Invisalign do Align Technology – Công ty thiết bị đa quốc gia từ Mỹ sản xuất. Tính đến năm 2017, niềng răng Invisalign đã được áp dụng cho hơn 9 triệu bệnh nhân trên toàn thế giới. Đồng thời, có hơn 80.000 nha sĩ đã hoàn thành khóa đào tạo về niềng răng Invisalign.
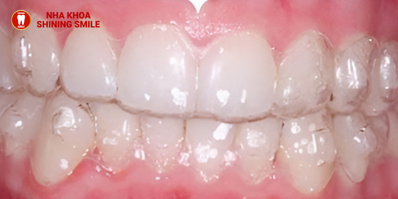
Invisalign bao gồm chuỗi khay niềng trong suốt bám sát vào răng. Vì không có mắc cài, dây cung, dây thun và chỉ có màu trong suốt nên khi được đeo lên răng thì khay niềng Invisalign gần như vô hình nên tính thẩm mỹ của phương pháp này được đánh giá cao.
Mỗi khay niềng Invisalign đều được thiết kế riêng biệt theo thông số hàm răng của mỗi người. Mỗi chu trình niềng răng Invisalign thường cần từ 20 – 40 khay niềng. Người niềng sẽ phải đeo khay liên tục mọi lúc trong ngày trừ lúc ăn uống và vệ sinh răng miệng.
Định kỳ khoảng 2-3 tuần thì người niềng sẽ thay khay Invisalign mới. Quá trình niềng răng Invisalign kết thúc khi tất cả răng đã dịch chuyển về đúng vị trí bệnh nhân mong muốn.
Quá trình niềng răng Invisalign là việc sử dụng chuỗi khay niềng trong suốt để dịch chuyển răng. Các khay niềng đều được thiết kế chuyên biệt dựa trên đặc điểm răng của mỗi bệnh nhân.
Mỗi khay sẽ được sử dụng một cách lần lượt theo từng giai đoạn chỉnh nha. Bác sĩ sẽ đánh số khay niềng theo thứ tự từ một đến khay cuối cùng. Thông thường thì bệnh nhân sẽ mang mỗi khay trong khoảng 2 tuần.
Hiệu quả của mỗi khay niềng là giúp răng dịch chuyển khoảng 0,25mm. Người niềng phải đeo liên tục cho tới khay cuối cùng và răng đã di chuyển về đúng vị trí.
Trung bình một quá trình niềng sẽ cần từ 20 khay đến 40 khay tuỳ vào tình trạng răng của mỗi bệnh nhân. Lưu ý là người dùng được khuyến khích đeo khay niềng trong suốt Invisalign ít nhất 22 tiếng/ngày.

Nha khoa SHINING SMILE luôn minh bạch về chính sách giá thành. Không chỉ vậy, để hỗ trợ khách hàng giảm áp lực kinh tế, nha khoa SHINING SMILE cung cấp dịch vụ niềng răng trong suốt Invisalign với giá thành rẻ nhất. Hiện tại nha khoa SHINING SMILE đang có ưu đãi gói niềng invisalign chỉ duy nhất 69.000.000 vnđ. Khách hàng có thể liên hệ 0397758888 để được tư vấn thêm.
Tình trạng răng miệng của bệnh nhân là yếu tố quan trọng quyết định chi phí niềng răng Invisalign. Giá thành phụ thuộc vào mức độ phức tạp của khuyết điểm răng. Ngoài ra, nếu bệnh nhân mắc thêm bệnh lý răng miệng thì sẽ phát sinh cả chi phí điều trị, đến khi khỏi bệnh mới tiến hành niềng.
Bên cạnh đó, mỗi nha khoa sẽ có mức giá niềng trong suốt Invisalign khác nhau nên chi phí niềng còn phụ thuộc vào nha khoa mà bạn lựa chọn nữa. Nha khoa uy tín có bác sĩ chuyên môn cao thì mức giá thường cao hơn so với các nha khoa khác.
Một yếu tố nữa chính là các đợt giảm giá và các gói niềng răng Invisalign. Một số nha khoa sẽ có gói tiết kiệm, gói trả góp và chương trình giảm giá để hỗ trợ khách hàng.
Tình trạng răng miệng, chất lượng nha khoa và các gói cụ thể là những yếu tố ảnh hưởng đến chi phí niềng răng.

Niềng răng trong suốt Invisalign phù hợp với hầu hết các đối tượng gặp khiếm khuyết răng miệng. Đặc biệt, phương pháp này có thể khắc phục cả những trường hợp phức tạp. Nhiều nha sĩ cũng khuyến khích những người niềng ở độ tuổi trưởng thành nên dùng phương pháp này.
Phương pháp niềng Invisalign phù hợp với những người có khiếm khuyết về răng như răng mọc lộn xộn, răng mọc lệch, răng thưa, răng hô, bị móm răng,…Cụ thể:
Độ tuổi niềng răng hiệu quả nhất là từ 12 – 16 tuổi, đây được coi là thời điểm vàng để niềng răng. Giai đoạn này cơ thể con người đang phát triển nên việc nắn chỉnh răng sẽ dễ dàng hơn. Bạn có thể tham khảo thêm về hiệu quả niềng răng ở các độ tuổi sau:

Hiệu quả của niềng răng Invisalign là không thể nghi ngờ. Phương pháp này không chỉ giúp chúng ta có một hàm răng đều, đẹp mà còn cải thiện khớp cắn, hạn chế bệnh lý răng miệng. Hiệu quả của niềng răng Invisalign thường duy trì suốt đời.
Niềng răng Invisalign có thể xử lý triệt để những trường hợp răng có khiếm khuyết nặng. Những ca niềng mà niềng răng truyền thống phải chịu thua thì niềng răng trong suốt Invisalign có thể khắc phục.
Khay niềng Invisalign có ưu điểm là màu sắc trong suốt, nếu nhìn không kỹ thì sẽ khó phát hiện bạn đang đeo niềng. Vì vậy mà phương pháp này rất thích hợp với những bệnh nhân không muốn bị lộ niềng răng.
Niềng răng Invisalign không có hệ thống dây cung và mắc cài cồng kềnh nên sẽ ít khó chịu hơn. Bạn sẽ không bị kích ứng má, môi, nướu do mắc cài cọ vào. Không chỉ vậy, khi ăn nhai hay vệ sinh răng miệng thì bạn có thể tháo khay niềng ra nên rất thoải mái, tiện lợi.
Đeo niềng răng mắc cài bạn có thể sẽ gặp phải rủi ro mắc cài bị bung sức và tốn thời gian tới nha khoa để gắn lại mắc cài. Ngược lại, với niềng răng Invisalign, khay niềng bám sát răng và không dùng mắc cài nên bạn không cần lo lắng vấn đề này.

Bạn bắt buộc phải đeo khay niềng tối thiểu 20 giờ một ngày và tốt nhất là đủ 22 giờ một ngày. Khi ăn uống thì bạn hãy tháo khay để tránh làm thủng khay, khay bị biến dạng.
Bên cạnh việc vệ sinh răng miệng thì bạn cũng cần vệ sinh khay niềng thật kỹ. Nếu không thì khay sẽ bị nhiễm màu và là nơi phát triển vi khuẩn. Tuân thủ tuyệt đối các hướng dẫn của bác sĩ và thực hiện đầy đủ lịch tái khám.
Nếu không may mất khay niềng răng Invisalign thì bạn cần báo ngay cho bác sĩ để được cấp mới càng sớm càng tốt. Tuy nhiên bạn cần cố gắng đừng để mất hay hỏng khay niềng vì tạo khay mới và gửi về Việt Nam cũng sẽ mất khá nhiều thời gian.
Nha khoa SHINING SMILE tự hào là hệ thống nha khoa chuyên niềng răng Invisalign Top 1 Việt Nam hiện nay – Hệ thống nha khoa đầu tiên và duy nhất Việt Nam đạt thứ hạng Invisalign Black Diamond. Đây chính là thứ hạng cao nhất của hệ thống Invisalign tại Việt Nam.
Thứ hạng này biểu thị cho việc SHINING SMILE là hệ thống có số lượng khách hàng tin tưởng niềng răng hàng đầu Việt Nam. Đồng thời, tập trung nhiều bác sĩ có kinh nghiệm, chuyên môn cao trong niềng răng chỉnh nha nói chung và niềng răng Invisalign nói riêng.
Không chỉ vậy, nha khoa SHINING SMILE còn có gói niềng răng trả góp, giúp bạn cân đối kinh phí và có thể niềng răng sớm hơn dự định. Nếu bạn đang tìm kiếm địa chỉ niềng răng Invisalign đáng tin cậy thì nha khoa SHINING SMILE chính là sự lựa chọn thích hợp nhất.
Niềng răng Invisalign là lựa chọn hoàn hảo cho những ai mong muốn một phương pháp chỉnh nha hiệu quả, thoải mái và thẩm mỹ. Đến với Shining Smile, bạn sẽ được trải nghiệm dịch vụ chuyên nghiệp và sự chăm sóc tận tình từ đội ngũ bác sĩ giàu kinh nghiệm. Để biết thêm thông tin chi tiết và bắt đầu hành trình đến với nụ cười hoàn hảo, hãy liên hệ ngay với chúng tôi qua Hotline: 039775 8888 hoặc ghé thăm tại Số 47 Khúc Thừa Dụ, Q. Cầu Giấy, TP. Hà Nội. Shining Smile – Nụ cười rạng ngời, tự tin tỏa sáng!
ƯU ĐÃI ĐẾN 70% KHI
ĐĂNG KÍ ONLINE
THÔNG TIN CỦA QUÝ KHÁCH
HOÀN TOÀN BẢO MẬT