ƯU ĐÃI ĐẾN 70% KHI
ĐĂNG KÍ ONLINE
THÔNG TIN CỦA QUÝ KHÁCH
HOÀN TOÀN BẢO MẬT

Niềng răng là một trong những giải pháp chỉnh nha thẩm mỹ, dựa trên tác dụng lực kéo sinh ra từ dây cung và mắc cài, nhằm sắp xếp răng về đúng vị trí, điều chỉnh khớp cắn, khắc phục các tình trạng khiếm khuyết của răng.
Niềng răng là phương pháp chỉnh nha có hiệu quả vĩnh viễn nếu bạn tuân thủ những lưu ý của bác sĩ trong quá trình niềng răng và chăm sóc răng đúng cách sau khi niềng.

Để có sức khỏe nha khoa tốt nhất bạn nên hạn chế ăn nhiều thực phẩm ngọt, chứa nhiều tinh bột hoặc nhai những thức ăn quá cứng vì về lâu dài chúng sẽ ảnh hưởng đến vị trí răng và men răng của bạn. Ngoài ra hãy vệ sinh răng miệng thường xuyên và đúng cách, bổ sung canxi, vitamin cho răng chắc khỏe hơn. Quan trọng nhất, hãy khám nha sĩ ít nhất 6 tháng/lần để đảm bảo răng miệng bạn luôn trong trạng thái tốt nhất.
Hiện nay, để đáp ứng được nhu cầu về thẩm mỹ và sự thoải mái cho khách hàng, có nhiều loại niềng răng như: niềng mắc cài kim loại, mắc cài tự động, mắc cài sứ, niềng răng trong suốt Invisalign… tùy vào nhu cầu của khách hàng và tình trạng răng, nha sĩ sẽ tư vấn cho bạn phương pháp niềng răng phù hợp nhất.
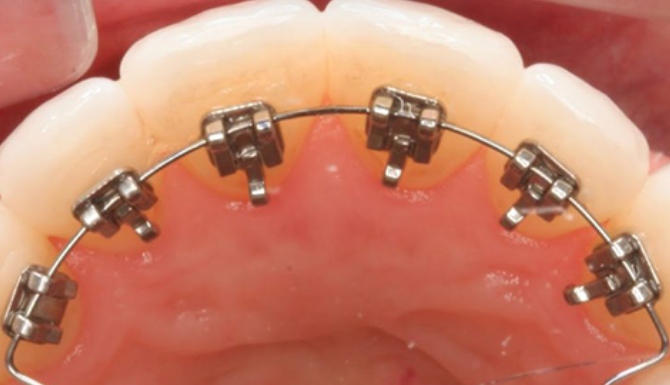
Đây là phương pháp niềng răng truyền thống, phổ biến nhất và được đánh giá là mang lại hiệu quả cao. Hoạt động trên nguyên lý sử dụng dây cung và khóa mắc cài để tạo lực siết giúp kéo giúp đẩy răng về đúng vị trí đã định trên phác đồ điều trị.
Ưu điểm của phương pháp này là nó giúp đem lại kết quả định hình tốt nhất, chi phí thấp, phù hợp với kinh tế của mọi gia đình.Tuy nhiên, phương pháp này là tính thẩm mỹ không cao do lộ mắc cài và khó khăn trong việc vệ sinh.
Phương pháp này sử dụng chất liệu sứ cao cấp hoặc Cryltal để làm mắc cài và kết hợp với dây cung màu trắng. Nhờ đó đảm bảo tính thẩm mỹ cao cho khách hàng trong quá trình niềng răng, không ảnh hưởng đến công việc và giao tiếp hàng ngày.
Ưu điểm của mắc cài này là có khả năng chịu lực tốt, khó bị vỡ. Không bị đổi màu theo thời gian. Không làm lộ mắc cài, nâng cao thẩm mỹ cho người niềng răng.
Về cơ chế, niềng răng mắc cài mặt lưỡi cũng giống như niềng răng mắc cài kim loại và mắc cài sứ.Tuy nhiên, có điểm khác biệt là hệ thống mắc cài được gắn vào mặt bên trong của răng nên khó có thể phát hiện khi nhìn bằng mắt thường.

Phương pháp niềng răng này yêu cầu bác sĩ có chuyên môn và tay nghề cao mới có thể đảmbảo hiệu quả niềng răng như mong muốn. Đồng thời, nó cũng khiến bệnh nhân gặp nhiều khó khăn trong việc vệ sinh răng miệng.
Phương pháp niềng răng này được thiết kế với mắc cài có một hệ thống nắp trượt hay cánh kim loại để đậy và giữ dây ở trong mắc cài. Dây có thể trượt ở trong mắc cài, đảm bảo khả năng bám dính và giữ cố định dây cung trong rãnh trượt. Với mắc cài niềng răng tự buộc bệnh nhân có thể kiểm soát được chỉ số kéo nên tính an toàn khá cao.
Ưu điểm của loại mắc cài này là bệnh nhân không cần ghé nha sĩ thường xuyên để điều chỉnh lực dây cung, Bác sỹ có thể dễ dàng kiểm soát và điều chỉnh lực cố định hàm tốt hơn, lực kéo nhẹ hơn và dây sẽ ít bị biến dạng hơn, rút ngắn thời gian chỉnh nha. Nhưng nhược điểm là gây vướng víu trong quá trình ăn uống và khó khăn trong việc phát âm..
Phương pháp niềng răng trong suốt invisalign là phương pháp chỉnh nha hiện đại, khắc phục được hầu hết những nhược điểm của các phương pháp niềng răng truyền thống,thể đảm bảo tính thẩm mỹ cao, dễ dàng tháo lắp, vệ sinh, chủ động trong việc thay thế hay điều trị. Và được nha sĩ cũng như bệnh nhân trên toàn thế giới ưa chuộng.
Tuy nhiên, niềng răng trong suốt Invisalign chỉ phù hợp với những người có hàm răng khấp khểnh nhẹ và không quá lệch khỏi khớp cắn. Trường hợp răng bị hô vẩu nặng hoặc mọc lệch nhiều nên chọn niềng mắc cài thông thường vì chúng có lực kéo lớn giúp răng đưa răng về vị trí mong muốn dễ dàng hơn. Đồng thời, phương pháp niềng răng trong suốt cũng có chi phí khá cao so với các phương pháp chỉnh nha truyền thống khác.
Kết luận, niềng răng là một phương pháp hiệu quả để cải thiện tình trạng răng miệng và nụ cười của bạn. Tuy nhiên, việc duy trì kết quả niềng răng lâu dài đòi hỏi sự cam kết thực hiện theo các hướng dẫn của nha sĩ và chăm sóc răng miệng đúng cách sau khi tháo niềng. Mặc dù niềng răng không thể đảm bảo một kết quả vĩnh viễn mà không cần bảo trì, nhưng với việc sử dụng hàm duy trì đúng cách và thăm khám định kỳ, bạn có thể giữ gìn nụ cười đẹp và sức khỏe răng miệng tốt trong nhiều năm. Hãy nhớ rằng, niềng răng không chỉ là một quá trình chữa trị mà còn là một cam kết lâu dài về việc chăm sóc và bảo vệ hàm răng của bạn.
ƯU ĐÃI ĐẾN 70% KHI
ĐĂNG KÍ ONLINE
THÔNG TIN CỦA QUÝ KHÁCH
HOÀN TOÀN BẢO MẬT