ƯU ĐÃI ĐẾN 70% KHI
ĐĂNG KÍ ONLINE
THÔNG TIN CỦA QUÝ KHÁCH
HOÀN TOÀN BẢO MẬT
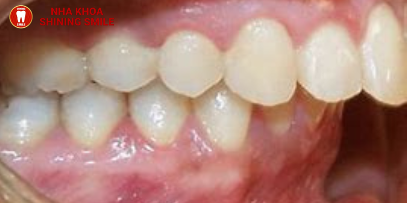
Khớp cắn sâu là tình trạng hai hàm bị bất cân đối, cụ thể là ở trạng thái cắn chặt hai hàm, răng cửa của hàm trên sẽ trùm lên các răng hàm dưới khoảng 4 - 10mm. Điều này sẽ làm hàm răng dưới bị lọt thỏm và khuất sâu so với hàm trên và sự tương quan giữa hai hàm sẽ mất đi sự hài hòa. Nguyên nhân của tình trạng này là do sự phát triển không đồng đều của hai hàm khi xương hàm trên bị to và dài, còn xương hàm dưới lại nhỏ và ngắn, ngoài ra, khi các răng cửa hàm dưới mọc hướng lệch vào trong cũng sẽ dẫn đến khớp cắn sâu.
Dấu hiệu nhận biết khớp cắn sâu:

Khớp cắn sâu không chỉ ảnh hưởng xấu đến sức khỏe răng miệng nói riêng, sức khỏe cơ thể nói chung mà còn làm mất đi tính thẩm mỹ của gương mặt

Nếu khớp cắn sâu là do nguyên nhân các răng mọc lệch, niềng răng là phương pháp hiệu quả để dịch chuyển và tái tạo lại thế hàm trên và hàm dưới trở nên hài hòa lại với nhau. Những phương pháp niềng răng phổ biến hiện nay là :
Ưu điểm: Chi phí thấp nhất trong các loại niềng răng. Khung kim loại chắc chắn tạo độ bền và độ ổn định tốt, trong khi lực siết mạnh không sợ bị đứt, vỡ trong quá trình sử dụng.
Nhược điểm: Cảm giác nhai có thể khó chịu do mắc cài kim loại gây vướng, cộm lợi. Bên cạnh đó, tính thẩm mỹ không cao do các mắc cài kim loại nhìn rất lộ.
Ưu điểm: Thời gian niềng răng ngắn hơn so với mắc cài kim loại. Không gây đau nhức cho người bệnh trong quá trình niềng răng.
Nhược điểm: Chi phí cao hơn niềng răng mắc cài kim loại thường. Tính tính thẩm mỹ không cao và gây cản trở cho quá trình vệ sinh răng miệng.
Ưu điểm: Có tính thẩm mỹ cao, không bị lộ như mắc cài kim loại, giúp người bệnh thoải mái, tự tin hơn trong khi giao tiếp. Chất liệu sứ an toàn và đẹp.
Nhược điểm: Cảm giác cộm và khó chịu hơn khi niềng do phần đế mắc cài sứ sẽ dày hơn mắc cài kim loại. Thời gian niềng kéo dài hơn khi dùng mắc cài kim loại và chất liệu cũng không bền bằng, dễ vỡ trong quá trình sử dụng.
Ưu điểm: Mắc cài pha lê có màu tương tự giúp tăng tính thẩm mỹ. 4 góc mắc cài được bo tròn mang đến sự an toàn cũng như không gây kích ứng cho người sử dụng. Ngoài ra, ưu điểm của niềng răng bằng mắc cài pha lê là giúp cải thiện nhanh chóng các tình trạng lệch khớp cắn.
Nhược điểm: Chất liệu không bền, rất dễ bị vỡ khi bị va đập hoặc chịu lực tác động mạnh. Các mắc cài pha lê rất dễ bị đổi màu nếu không vệ sinh răng miệng kỹ và làm giảm tính thẩm mỹ của phương pháp này.
Đây được xem là phương pháp chỉnh nha hiện đại nhất bằng cách sử dụng một khay trong suốt để điều chỉnh răng về vị trí mong muốn.
Ưu điểm: Tính thẩm mỹ cao, thậm chí người khác còn không biết bạn đang niềng răng. Các khay chỉnh hàm được thiết kế chuyên biệt cho từng bệnh nhân, phù hợp với khớp cắn sâu của mỗi người nên giúp đảm bảo hiệu quả tốt hơn.
Nhược điểm: Chi phí rất cao, không phù hợp cho tất cả mọi người.
Nếu xương hàm phát triển lệch là nguyên nhân gây ra khớp cắn sâu thì chỉ có thể điều chỉnh bằng cách phẫu thuật. Bác sĩ sẽ tiến hành cắt xương hàm để khớp cắn về lại đúng tỷ lệ chuẩn.

Các bác sĩ sẽ tư vấn phương pháp chỉnh nha cho mỗi người theo từng trường hợp cụ thể, tuy nhiên, thông thường quy trình niềng răng cơ bản sẽ trải qua các bước sau :
Bước 1: Khám trực tiếp người bệnh
Bác sĩ tiến hành thăm khám cụ thể để biết được tình trạng răng miệng hiện tại của bạn. Chỉ định chụp X Quang để nhận định độ sai lệch của 2 cung hàm và chân răng. Tiến hành lên phác đồ điều trị khớp cắn sâu chi tiết cho người bệnh, bao gồm các thông tin về:
Bước 2: Lấy dấu hàm và chế tạo loại mắc cài phù hợp
Người bệnh sẽ được lấy dấu hàm bằng vật liệu nha khoa chuyên dụng và thiết kế mắc cài hoặc máng niềng. Cùng lúc đó, nếu người bệnh có các bệnh lý nha khoa hoặc vấn đề về răng miệng khác như răng sâu, răng mọc lệch nhiều,... sẽ được điều trị triệt để nhằm giúp tăng hiệu quả chỉnh nha cho quá trình niềng răng.
Bước 3: Gắn mắc cài hoặc đeo khay niềng lên răng
Bác sĩ sẽ tiến hành gắn trực tiếp các mắc cài lên thân răng của người bệnh có hỗ trợ cùng các khí cụ chỉnh nha. Sau đó sẽ cố định lại bằng các dây cung và thun buộc. Trong khi đó, với người dùng máng niềng răng trong suốt, bác sĩ sẽ hướng dẫn cụ thể cho người bệnh cách tháo lắp theo số thứ tự trên từng máng.
Bước 4: Tái khám định kỳ theo hẹn
Bác sĩ sẽ hẹn lịch tái khám theo định kỳ cho bệnh nhân, thông thường là từ 4 đến 6 tuần một lần để kiểm tra tiến độ niềng răng và thực hiện các điều chỉnh ở dây cung, mắc cài, thay thun nếu cần thiết. Trung bình thời gian niềng răng sẽ kéo dài từ 2 - 3 năm tùy mức tình trạng và loại niềng răng, tuy nhiên cũng có thể rút ngắn được từ 1 đến 3 tháng nếu người bệnh tuân thủ tốt những hướng dẫn của bác sĩ kết hợp đảm bảo chăm sóc răng miệng kỹ càng hàng ngày.
Tuy nhiên, trong quá trình niềng, nếu người bệnh thấy xuất hiện bất kỳ biểu hiện bất thường nào thì cần đi khám ngay để được xử lý.
Bước 5: Tháo mắc cài niềng răng và đeo hàm duy trì
Kết thúc thời gian niềng theo dự kiến, bác sĩ kiểm tra tình trạng khớp cắn sâu và nếu đạt yêu cầu, người bệnh sẽ được tháo niềng.
Tuy nhiên, người bệnh sẽ tiếp tục được đeo hàm duy trì từ 3 đến 6 tháng, thậm chí là 1 năm nữa để ổn định xương hàm cũng như hỗ trợ cho răng không chạy lại vị trí cũ.
Chỉ với một liệu trình niềng răng hoàn chỉnh tại SHINING SMILE, bạn sẽ sở hữu nụ cười rạng rỡ, khớp cắn hài hòa và sức khỏe răng miệng tuyệt vời. Hãy liên hệ ngay Hotline 039775 8888 hoặc đến địa chỉ Số 47 Khúc Thừa Dụ, Q. Cầu Giấy, Hà Nội để được tư vấn và lên lịch hẹn miễn phí. Cùng SHINING SMILE, nụ cười hoàn hảo đang chờ đón bạn!
ƯU ĐÃI ĐẾN 70% KHI
ĐĂNG KÍ ONLINE
THÔNG TIN CỦA QUÝ KHÁCH
HOÀN TOÀN BẢO MẬT