ƯU ĐÃI ĐẾN 70% KHI
ĐĂNG KÍ ONLINE
THÔNG TIN CỦA QUÝ KHÁCH
HOÀN TOÀN BẢO MẬT

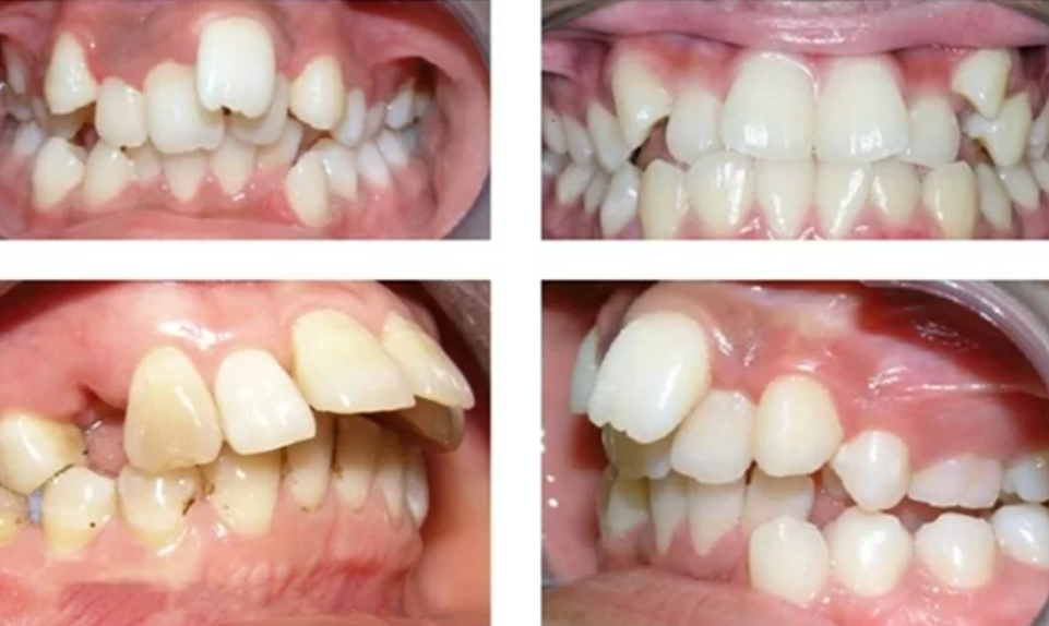
Nếu bạn gặp phải các vấn đề sau đây thì bạn sẽ được khuyên là nên thực hiện chỉnh nha:


Mắc cài sapphire mang đến sự kết hợp hoàn hảo giữa tính thẩm mỹ và hiệu quả trong quá trình niềng răng. Với độ bền cao, khả năng chịu lực tốt và vẻ ngoài trong suốt, mắc cài sapphire không chỉ giúp chỉnh nha hiệu quả mà còn mang lại cảm giác tự tin cho người sử dụng. Để đạt được kết quả tốt nhất, bạn nên lựa chọn một bác sĩ nha khoa uy tín và tuân thủ đúng quy trình chăm sóc răng miệng. Liên hệ SHINING SMILE qua hotline: 039775 8888 Địa chỉ tại Số 47 Khúc Thừa Dụ, Q. Cầu Giấy, TP. Hà Nội.
ƯU ĐÃI ĐẾN 70% KHI
ĐĂNG KÍ ONLINE
THÔNG TIN CỦA QUÝ KHÁCH
HOÀN TOÀN BẢO MẬT