ƯU ĐÃI ĐẾN 70% KHI
ĐĂNG KÍ ONLINE
THÔNG TIN CỦA QUÝ KHÁCH
HOÀN TOÀN BẢO MẬT

Niềng răng là thuật ngữ nha khoa, nói về một kỹ thuật dịch chuyển răng về đúng vị trí bằng cách sử dụng các khí cụ chuyên dụng như mắc cài, khay niềng, ... nhằm mục đích đưa khớp cắn về chuẩn tỷ lệ, giúp bạn sở hữu hàm răng đều đẹp, cân đối.
Với sự phát triển mạnh mẽ trong công nghệ và kỹ thuật nha khoa, phương pháp niềng răng chỉnh nha ngày nay được thực hiện bởi nhiều phương thức và dụng cụ khác nhau, đem đến cho khách hàng sự tiện lợi, thoải mái lựa chọn theo mong muốn của mình.
Răng là bộ phận quan trọng, giúp một người sử dụng miệng để ăn, nói, cười và tạo hình dạng cho khuôn mặt của họ. Tuy nhiên, có những sự thật thú vị về răng mà có thể bạn chưa từng biết. Hãy cùng trả lời nhanh 9 câu hỏi trắc nghiệm sau để thử hiểu biết của bạn về răng.
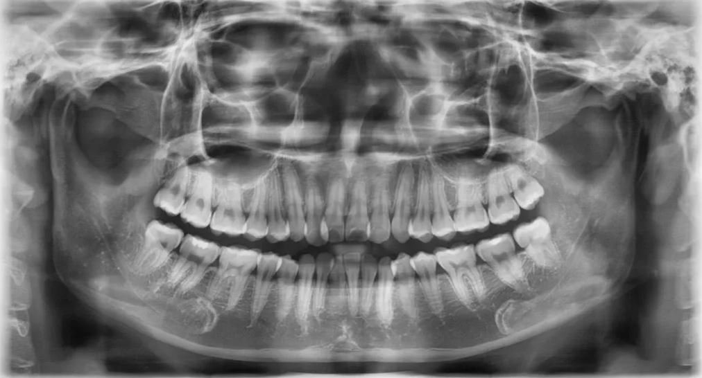
Để thực hiện niềng răng các bác sĩ phải lên phác đồ điều trị cụ thể đối với từng trường hợp. Để có thể chẩn đoán chính xác và lên kế hoạch điều trị hợp lý, bác sĩ phải hiểu rõ đặc điểm xương hàm, trục răng, mức độ lệch lạc của răng và độ cứng chắc của răng như thế nào... Do vậy chụp Xquang trước kh niềng rang là việc rất cần thiết. Thông qua những hình ảnh thu được từ việc chụp phim Xquang khi niềng răng kết hợp với hình ảnh thăm khám khoang miệng, ngoài mặt, lấy dấu mẫu hàm, bác sĩ mới có thể đưa ra được những nhận định và phán đoán chính xác về tình trạng răng, hướng dịch chuyển của răng sau khi niềng và lên phác đồ cụ thể cho từng trường hợp.
Niềng răng trong chỉnh nha là một điều trị trong khoảng thời gian dài, từ 2 - 3 năm, điều này có thể khiến bác sĩ không thể nhớ hết được những điều trị của mình cũng có thể bệnh nhân sẽ quên đi hàm răng trước khi niềng của bản thân. Vì vậy việc chụp Xquang sẽ cho phép bác sĩ và bệnh nhân có cái nhìn toàn diện và chính xác hơn trong quá trình niềng răng.

Chụp x quang khi niềng răng là việc làm cần thiết và quan trọng
Bên cạnh đó, chụp phim Xquang là một trong những cách lưu trữ thông tin về tình trạng răng và xương hàm của bệnh nhân, dựa vào các hình ảnh trên phim qua các lần chụp bác sĩ và bệnh nhân có thể thấy được sự di chuyển của răng cũng như hiệu quả quá trình điều trị chỉnh nha.
Chụp Xquang khi niềng răng có đau không?
Những người chưa từng chụp Xquang có thể lo sợ bị đau trong quá trình chụp. Tuy nhiên, trên thực tế, quy trình chụp Xquang khi niềng răng vô cùng đơn giản, không hề đau đớn, chỉ sau khoảng 5s bạn đã nhìn được tổng quát hình dáng, tình trạng răng của mình. Bạn cần thả lỏng, không quá căng thẳng trong quá trình chụp để chất lượng phim được rõ nét, từ đó, quá trình chẩn đoán của bác sĩ cũng dễ dàng với kết quả chính xác hơn.
Việc chụp phim Xquang trong điều trị nha khoa phụ thuộc vào sự chỉ định của bác sĩ:
Tia X có khả năng gây nhiễm xạ, ảnh hưởng không tốt đến sức khỏe nếu tiếp xúc trong thời gian dài. Vì vậy khi chụp Xquang bạn có thể được bảo vệ bởi áo chì nhằm hạn chế sự tiếp xúc trực tiếp giữa tia X và cơ thể.

Người chụp sẽ được bảo vệ bởi áo chì nhằm hạn chế sự tiếp xúc với tia X
Trong y tế, lượng tia X dùng để chụp phim Xquang rất nhỏ và hoàn toàn được kiểm soát.
Lưu ý đối với thai phụ và trẻ em:
Đối với thai phụ: Trong điều trị nha khoa, tuy chụp Xquang chỉ được thực hiện ở vùng miệng nhưng nếu bạn mang thai, bạn nên thông báo với chuyên viên y tế về tình hình thai kỳ để được hỗ trợ thiết bị bảo vệ tránh ảnh hưởng đến thai nhi nhằm đảm bảo sức khỏe thai nhi nhất là trong ba tháng đầu.
Trẻ em đôi lúc cũng sẽ được chỉ định chụp Xquang để xác định tình trạng răng lệch lạc, răng mọc xiên lệch cũng như những tình trạng sâu răng trước khi phát triển, lây lan sang những răng bên cạnh... Đối với việc này bác sĩ sẽ có những biện pháp chữa trị.
Chụp phim X-quang là một phần không thể thiếu trong quá trình niềng răng. Các loại phim khác nhau giúp bác sĩ nha khoa có được những thông tin quan trọng để theo dõi và điều chỉnh liệu trình niềng một cách tối ưu, đem lại kết quả tốt nhất cho bệnh nhân. Liên hệ SHINING SMILE qua hotline: 039775 8888 Địa chỉ tại Số 47 Khúc Thừa Dụ, Q. Cầu Giấy, TP. Hà Nội để được hỗ trợ thêm.
ƯU ĐÃI ĐẾN 70% KHI
ĐĂNG KÍ ONLINE
THÔNG TIN CỦA QUÝ KHÁCH
HOÀN TOÀN BẢO MẬT