ƯU ĐÃI ĐẾN 70% KHI
ĐĂNG KÍ ONLINE
THÔNG TIN CỦA QUÝ KHÁCH
HOÀN TOÀN BẢO MẬT

Niềng 1 răng mọc lệch có được không?
Nguyên tắc của phương pháp niềng răng chính là sử dụng lực kéo của mắc cài và dây cung để nắn chỉnh răng, sắp xếp các răng về đúng vị trí trên cung hàm. Người bệnh sẽ mang khí cụ để nắn chỉnh răng, giúp răng các răng đều đẹp, cho hàm răng thẩm mỹ, cân đối khớp cắn và cải thiện ăn nhai.
Với các trường hợp hàm răng có 1 chiếc răng mọc lệch, bạn hoàn toàn có thể nắn chỉnh răng mọc lệch để giúp nắn chỉnh răng đó đều đẹp cùng với răng khác. Tuy nhiên, có thể niềng 1 răng được không sẽ tùy vào tình trạng sai lệch và răng miệng từng người.
Bởi nếu xương hàm vẫn còn phát triển, các răng chưa ổn định, bác sĩ sẽ tiến hành gắn mắc cài trên răng mọc lệch và một răng kế cận khác, kết nối với dây cung để tạo lực kéo răng, giúp răng mọc lệch thẳng đều cùng răng khác.
Còn nếu xương hàm và răng cứng chắc, muốn dịch chuyển răng cần phải có khoảng trống nhất định để đưa răng về. Khi đó khó có thể niềng 1 răng mà phải tiến hành niềng răng 1 hàm. Bác sĩ sẽ tiến hành gắn mắc cài và dây cung cho cả hàm, giúp tạo lực để dịch chuyển toàn bộ răng, đưa răng về đúng vị trí, ngay ngắn. Nếu khoảng trống để đưa răng về đều đẹp không đủ, khi đó sẽ phải tiến hành nhổ bớt răng.
Để biết chính xác có thể niềng 1 răng được không, bạn cần thăm khám và kiểm tra mức độ sai lệch của răng cụ thể. Tùy vào từng trường hợp, bác sĩ sẽ tư vấn tới bạn phương pháp niềng răng phù hợp, mang lại hiệu quả tốt nhất.
Thông thường, với các trường hợp chỉ có 1 răng mọc lệch, muốn răng đều đẹp hơn, bọc răng sứ là giải pháp tối ưu hơn. Khi đó, răng thật sẽ được mài nhỏ bớt để chỉnh sửa các khuyết điểm về độ vênh lệch, sau đó sử dụng mão răng sứ chụp ra bên ngoài để phục hình.

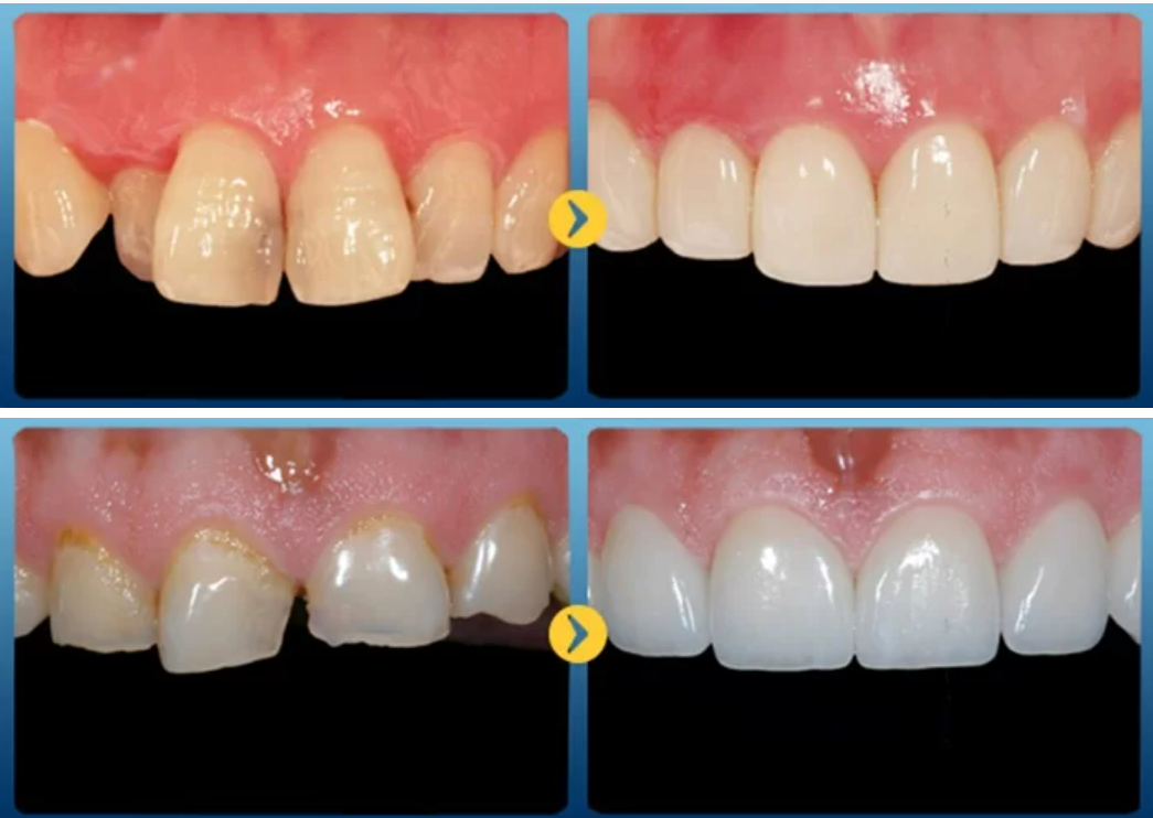
Hình ảnh khách hàng trước và sau khi bọc răng sứ tại Nha Khoa Shining Smile* Lưu ý: Hiệu quả phụ thuộc vào tình trạng răng miệng từng người
Bọc răng sứ cho 1 răng mọc lệch được thực hiện nhanh chóng, đáp ứng đúng với nhu cầu của khách hàng nhiều hơn so với niềng 1 răng. Tuy nhiên, bọc răng sứ chỉ nên áp dụng với các trường hợp răng vênh lệch nhẹ.
Với các trường hợp răng vênh lệch lớn, mức độ sai lệch răng quá nhiều, bọc răng sứ cũng không phải là giải pháp tốt và an toàn. Bởi khi đó tỉ lệ mài cùi răng lớn, phải điều trị tủy răng để phục hình răng sứ. Điều này sẽ gây xâm lấn răng nhiều, ảnh hưởng tới răng về lâu dài, thậm chí không đạt được hiệu quả.

Khách hàng được thăm khám, chụp X-quang răng để xác định chính xác tình trạng răng miệng
Tại Nha Khoa Shining Smile, khách hàng sẽ được các bác sĩ chuyên môn giỏi, nhiều kinh nghiệm trực tiếp thăm khám, tư vấn. Khách hàng sẽ được chụp X-quang Panorex để xác định cụ thể mức độ sai lệch của răng, tương quan răng, hàm để có những chuẩn đoán và chỉ định niềng 1 răng hay áp dụng phương pháp điều trị phù hợp.
Với tay nghề và kinh nghiệm điều trị dày dặn, bác sĩ của Nha Khoa Shining Smile sẽ giúp bạn sớm khắc phục khuyến điểm của răng, mang lại hàm răng đều đẹp và làm hài lòng khách hàng, đúng theo mong muốn và nhu cầu.
Quá trình thực hiện tuân thủ các yêu cầu về điều kiện vô trùng, khử khuẩn an toàn. Hệ thống nha khoa với hơn 30 cơ sở thuận tiện để khách hàng lựa chọn đến thăm khám và thẩm mỹ cho răng.
Hy vọng, với chia sẻ trên sẽ giúp giải đáp phần nào băn khoăn niềng 1 răng có được không của bạn. Hãy tới thăm khám trực tiếp để có những thông tin chính xác cũng như an tâm điều trị răng miệng nhé.
ƯU ĐÃI ĐẾN 70% KHI
ĐĂNG KÍ ONLINE
THÔNG TIN CỦA QUÝ KHÁCH
HOÀN TOÀN BẢO MẬT