ƯU ĐÃI ĐẾN 70% KHI
ĐĂNG KÍ ONLINE
THÔNG TIN CỦA QUÝ KHÁCH
HOÀN TOÀN BẢO MẬT
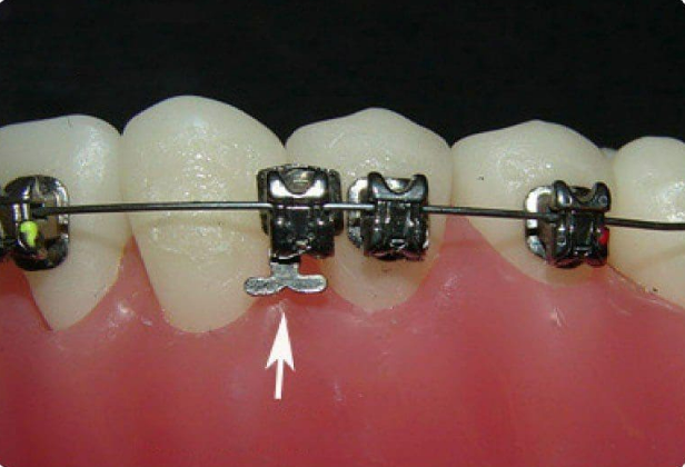
Bung mắc cài là khi một hoặc nhiều mắc cài không còn bám chặt vào răng của bạn và đã bị tuột ra khỏi vị trí ban đầu. Một số dấu hiệu cho thấy mắc cài bị bung như: cảm giác lỏng lẻo, không có lực siết răng như bình thường, đôi khi cảm giác đau nhức hoặc khó chịu ở vị trí nào đó trong răng, răng bị dịch chuyển không chính xác hoặc có chiếc răng bị xô lệch ra khỏi vị trí bình thường.
Bạn có thể nhìn qua gương để kiểm tra xem mắc cài có bị bung không hoặc nếu nghi ngờ, hãy đến nha khoa để được bác sĩ kiểm tra kĩ lưỡng.

Dấu hiệu bung mắc cài
Bạn không nên quá hốt hoảng – hãy bình tĩnh liên hệ với bác sĩ để được hỗ trợ
Hãy trực tiếp đến địa chỉ nha khoa mà bạn đang niềng răng (ngay cả khi chưa đến lịch tái khám định kì)
Bác sĩ theo dõi lực siết của mắc cài để chỉnh lực phù hợp với tình trạng răng của bạn, nhằm hạn chế ảnh hưởng xấu tới tiến trình di chuyển của răng.

Bung mắc cài phải làm sao?
Một lưu ý bạn luôn cần phải nhớ là việc niềng răng cần phải được thực hiện an toàn bởi bác sĩ giỏi – chuyên sâu về niềng răng, dựa trên kế hoạch chi tiết, sử dụng mắc cài tiêu chuẩn, có thông số rõ ràng. Điều này đảm bảo quãng thời gian từ 18 – 24 tháng của bạn đổi lấy kết quả hoàn toàn xứng đáng: niềng răng an toàn, răng đều đẹp, chắc khỏe, kết quả thẩm mỹ duy trì trọn đời.
Quá trình chỉnh nha không đồng nghĩa với việc bạn chỉ cần mang bộ niềng đủ ngày đủ tháng là có kết quả mỹ mãn bởi niềng răng di chuyển đồng thời cả phần thân răng trên và ổ xương răng phía dưới.
Việc niềng răng mắc cài với bác sĩ giỏi, chuyên sâu là giải pháp tốt nhất cho bạn: đảm bảo tính chính xác từ khâu chẩn đoán đến thao tác gắn mắc cài chuẩn kỹ thuật cũng như kiểm soát sự dịch chuyển của các răng, điều chỉnh lực kéo, siết răng phù hợp trong suốt quá trình.
Bung mắc cài để lâu sẽ làm ảnh hưởng đến quá trình niềng răng, bạn sẽ phải kéo dài thời gian niềng răng lâu hơn so với dự kiến bởi lúc này răng dịch chuyển lung tung, không theo kế hoạch ban đầu. Nếu để lâu, có thể làm răng ở vị trí mắc cài bung xô lệch ra khỏi vị trí cung hàm như trước đó, lúc này, bác sĩ phải kéo lại chiếc răng đó về đúng vị trí như lúc chưa bị bung rồi mới tiến hành kéo các răng đi theo kế hoạch được.
Do đó, khi bị bung mắc cài, bạn nên đến kiểm tra và khắc phục sớm nhất có thể để tránh ảnh hưởng đến quá trình niềng.

Bung mắc cài để lâu có sao không?
Tóm lại, việc tuân thủ lịch trình kiểm tra định kỳ và chăm sóc răng miệng đúng cách sẽ giúp giảm thiểu các sự cố không mong muốn trong quá trình niềng răng. Nhớ rằng, mỗi bước đi cẩn thận sẽ giúp bạn đạt được nụ cười hoàn hảo và hàm răng đều đẹp như mong muốn. Liên hệ Hotline: 039775 8888; Địa chỉ tại Số 47 Khúc Thừa Dụ, Q. Cầu Giấy, TP. Hà Nội để được tư vấn hỗ trợ.
ƯU ĐÃI ĐẾN 70% KHI
ĐĂNG KÍ ONLINE
THÔNG TIN CỦA QUÝ KHÁCH
HOÀN TOÀN BẢO MẬT