ƯU ĐÃI ĐẾN 70% KHI
ĐĂNG KÍ ONLINE
THÔNG TIN CỦA QUÝ KHÁCH
HOÀN TOÀN BẢO MẬT

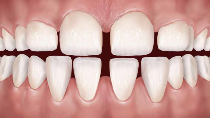
Trường hợp răng cửa bị thưa
Răng thưa là trường hợp không hiếm gặp. Đây là tình trạng các răng mọc không sát khít nhau, để lộ khoảng trống gây mất thẩm mỹ và có nguy cơ cao mắc các bệnh lý về răng miệng. Răng thưa có thể do cơ địa hoặc các thói quen xấu như: Xỉa tăm, mút tay, đẩy lưỡi,…tạo thành.
Bọc răng sứ cho răng thưa là một trong những giải pháp được nhiều người lựa chọn bởi thời gian thực hiện nhanh chóng, nhưng mang lại tính thẩm mỹ cao. Bởi khách hàng còn có thể điều chỉnh dáng răng và màu sắc răng sứ theo nhu cầu. Tại những nha khoa uy tín, răng sứ sẽ được chế tác tự nhiên như răng thật. Nên bạn không cần phải lo lắng sẽ bị lộ khi giao tiếp.
Về tuổi thọ, răng sứ có thể sử dụng lên đến 25 năm tùy thuộc vào loại răng, thương hiệu răng sứ và cách chăm sóc răng sứ của từng người. Trong đó, răng sứ toàn sứ sẽ có tuổi thọ cao hơn răng sứ kim loại. Các dòng răng sứ cao cấp như: Cercon HT, Nacera 9, Nacera 9 Max sẽ bền hơn các dòng răng DDbio, Titan,…Trường hợp bọc sứ răng thưa toàn hàm, hầu hết bác sĩ sẽ khuyến khích khách hàng chọn răng toàn sứ để đảm bảo tính thẩm mỹ lẫn khả năng ăn nhai của răng.
Tuy nhiên, bọc sứ chỉ nên áp dụng cho những trường hợp răng thưa nhẹ như bọc răng cửa thưa,.. bởi thực tế đây cũng chưa phải là phương án tối ưu nhất. Vì bác sĩ phải mài răng thật để thực hiện, nên nếu tay nghề bác sĩ kém có thể khiến răng bị tổn thương nặng.
Chính vì thế, bác sĩ luôn khuyến khích chọn giải pháp niềng răng để cải thiện tình trạng răng thưa. Bọc sứ răng thưa chỉ dành cho những ai có răng thưa nhẹ, không có nhiều thời gian chờ đợi hoặc răng không đủ điều kiện để thực hiện niềng răng.
Để biết được chính xác tình trạng răng của mình phù hợp với phương án nào, bạn nên gặp bác sĩ để được kiểm tra, thăm khám và nhận tư vấn trực tiếp.

Bọc răng sứ cho răng thưa bao nhiêu tiền?
Tham khảo thêm chi phí bọc răng sứ cho răng thưa tại nha khoa SHINING SMILE trong bảng sau đây:

Trước khi khách hàng quyết định bọc răng sứ,SHINING SMILE sẽ thăm khám, chụp phim và tư vấn. Và dựa trên tư vấn của bác sĩ, quý khách sẽ chọn loại răng sứ và số lượng răng cần bọc để có thể tính được tổng chi phí cần trả.
Bọc răng thưa là giải pháp hiệu quả để cải thiện thẩm mỹ và chức năng của răng, giúp bạn có được nụ cười tự tin và đẹp tự nhiên. Chi phí bọc răng thưa có thể khác nhau tùy thuộc vào nhiều yếu tố như loại vật liệu sứ được sử dụng, mức độ phức tạp của ca điều trị và địa chỉ nha khoa mà bạn lựa chọn.
Tại SHINING SMILE, chúng tôi cung cấp dịch vụ bọc răng thưa với mức giá hợp lý và minh bạch, đảm bảo chất lượng cao và sự hài lòng của khách hàng. Để biết thêm thông tin chi tiết về chi phí và nhận tư vấn cụ thể, hãy liên hệ ngay với chúng tôi qua Hotline: 039775 8888. Đội ngũ chuyên gia của SHINING SMILE luôn sẵn sàng hỗ trợ bạn trên hành trình chăm sóc và hoàn thiện nụ cười của mình!
ƯU ĐÃI ĐẾN 70% KHI
ĐĂNG KÍ ONLINE
THÔNG TIN CỦA QUÝ KHÁCH
HOÀN TOÀN BẢO MẬT