ƯU ĐÃI ĐẾN 70% KHI
ĐĂNG KÍ ONLINE
THÔNG TIN CỦA QUÝ KHÁCH
HOÀN TOÀN BẢO MẬT
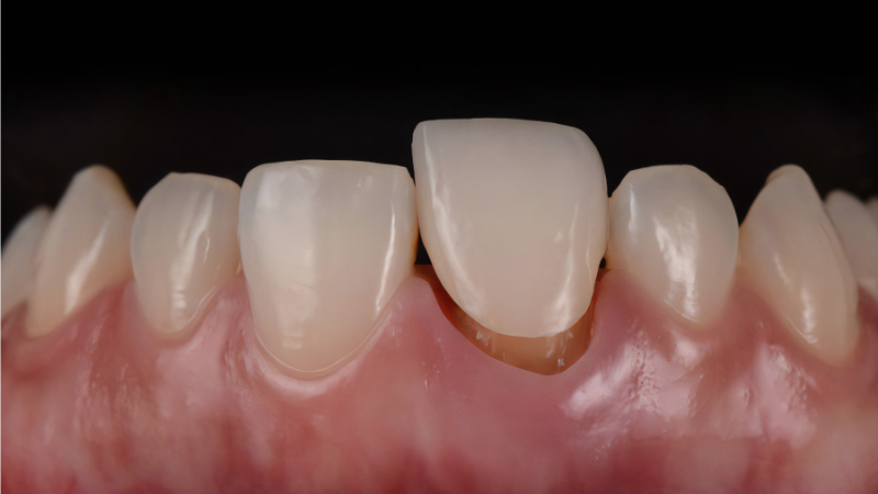
Bọc răng sứ là phương pháp làm đẹp răng đã quá quen thuộc. Thông qua quá trình mài và chỉnh sửa một phần răng thật, rồi chụp mão sứ lên trên để cải thiện hiệu quả các khuyết điểm răng miệng như: Răng bị ố vàng hay nhiễm màu, răng thưa hở kẽ, răng hô, răng móm, răng bị vỡ mẻ,…

Răng sứ giúp khắc phục hiệu quả nhiều khuyết điểm răng miệng
Bọc răng sứ có bị rơi ra không? Răng sứ sẽ được gắn cố định chặt với răng thật bằng một loại keo nha khoa chuyên dụng. Khách hàng có thể thoải mái ăn uống cũng như vệ sinh răng miệng giống như răng thật.
Tuy nhiên, một vài trường hợp, mão răng sứ lại bị sứt ra, làm cho khách hàng lo lắng không biết phải xử lý như thế nào.
Vậy có những nguyên nhân nào dẫn đến việc răng sứ bị sứt?
Do lực ăn nhai quá mạnh
Răng sứ bị bung ra do khách hàng đã sử dụng lực nhai, cắn, xé quá mạnh, làm cho răng sứ bị lung lay, xô lệch và dẫn đến việc rơi ra khỏi răng thật.
Do răng sứ hết tuổi thọ sử dụng
Răng sứ bị sứt ra ngoài do đã hết tuổi thọ hoặc tới thời hạn cần phải thay mới, lớp keo dán liên kết giữa cùi răng và răng sứ đã bị mài mòn sau nhiều năm sử dụng. Đó là do sự ảnh hưởng của thức ăn, nước bọt, vi khuẩn… tác động đến răng, khiến răng sứ không còn chắc chắn nữa mà bị bật ra ngoài.
Do bác sĩ tay nghề không tốt
Trong quá trình gắn răng sứ cố định, bác sĩ đã sử dụng ít lượng keo dán, khiến cho răng sứ không thể dính chắc với răng thật. Do đó mà khi ăn uống hay dùng lực ăn nhai đã gây tác động, khiến răng sứ bị bung và rớt ra ngoài.

Bác sĩ tay nghề kém, gắn răng sứ không chắc chắn khiến răng bị rơi ra
Do vệ sinh răng sai cách:
Khi vệ sinh răng miệng, nếu thường xuyên chải răng với lực quá mạnh, thì có thể gây ra hiện tượng hở chân răng. Từ đó răng sứ cũng dễ bung tuột hơn.
Khi răng giả bị rơi ra ngoài, khách hàng tuyệt đối không được tự xử lý tại nhà mà cần đến nha khoa càng sớm càng tốt. Tại đây, với bác sĩ có chuyên môn và nhiều thiết bị hỗ trợ, sẽ giúp khắc phục tình trạng này một cách an toàn nhất.
Trường hợp cùi răng thật còn chắc khỏe và răng sứ bị rớt ra vẫn còn nguyên vẹn thì bác sĩ chỉ cần gắn lại răng sứ bằng một lượng keo dán vừa đủ. Đảm bảo răng sứ cố định và chắc chắn trở lại.
Trường hợp răng sứ đã gãy vỡ hoặc hết tuổi thọ không thể sử dụng được nữa, bác sĩ buộc phải điều chỉnh lại cùi răng thật, sau đó lấy dấu mẫu hàm để chế tác răng sứ mới thay thế.
Để hạn chế tình trạng hư hỏng hoặc rơi răng sứ, khách hàng hãy lưu ý đến việc lựa chọn một địa chỉ nha khoa uy tín, với đội ngũ bác sĩ tay nghề cao và thiết bị hiện đại. Đồng thời xây dựng chế độ ăn uống và chăm sóc răng miệng kỹ lưỡng. Định kỳ 6 tháng/lần hãy đến nha khoa để cạo vôi răng và kiểm tra tình trạng răng sứ.

Thăm khám răng định kỳ để bảo tồn răng sứ để răng sứ bị sứt
Yếu tố quan trọng hàng đầu để có được một kết quả phục hình răng sứ thành công và sử dụng bền lâu, chính là lựa chọn đúng nha khoa uy tín, chất lượng. Nơi có các bác sĩ giỏi, giàu kinh nghiệm; luôn cập nhật những công nghệ, thiết bị mới nhất và sử dụng vật liệu sứ chất lượng.
SHINING SMILE tự hào là địa chỉ bọc răng sứ uy tín hàng đầu tại Hà Nội. Minh chứng qua hơn 6000 ca bọc sứ thành công, kể cả những trường hợp phức tạp nhất.
Trực tiếp các bác sĩ CKI hơn 15 năm kinh nghiệm thăm khám, lên kế hoạch và tiến hành phục hình sứ cho khách hàng. Đảm bảo răng sứ sát khít, không cộm cấn, cố định chắc chắn và ăn uống thoải mái như răng thật.
Tại SHINING SMILE còn có Labo riêng, nơi ứng dụng nhiều thiết bị, máy móc hiện đại vào quá trình chế tác răng sứ. Để cho ra đời những mẫu sứ đẹp tinh tế, đa dạng màu sắc và độ bền vượt trội. Đáp ứng mọi sở thích, nhu cầu và tình trạng răng của khách hàng.

SHINING SMILE sở hữu Labo chế tác răng sứ công nghệ cao
Ngoài ra, toàn bộ răng sứ được nha khoa sử dụng đều nhập khẩu trực tiếp từ Mỹ, Đức với đầy đủ thẻ bảo hành chính hàng. Cam kết chất lượng tốt và an toàn với sức khỏe răng miệng.
Khi tới SHINING SMILE, khách hàng sẽ được bọc răng sứ đúng chuẩn yêu cầu của Bộ Y tế. Phòng khám riêng biệt, sạch sẽ và tuân thủ các điều kiện về vô trùng, tránh lây nhiễm chéo.
Nếu khách hàng đang băn khoăn răng sứ bị sứt ra phải làm sao, hãy đến SHINING SMILE thăm khám và kiểm tra sớm. Các bác sĩ sẽ xác định nguyên nhân và giúp khắc phục hiệu quả, để không ảnh hưởng đến thẩm mỹ và ăn nhai của khách hàng.
Bọc răng sứ là một giải pháp nha khoa phổ biến giúp cải thiện thẩm mỹ và chức năng của răng. Tuy nhiên, một trong những lo ngại thường gặp của nhiều người là liệu răng sứ có bị rơi ra hay không và độ bền của nó ra sao. Với kỹ thuật hiện đại và vật liệu chất lượng cao, răng sứ được thiết kế để bám chắc và duy trì lâu dài trên răng thật. Nếu được chăm sóc đúng cách và thực hiện bởi các chuyên gia nha khoa có kinh nghiệm, răng sứ có thể kéo dài hàng chục năm mà không gặp vấn đề gì.
Tại SHINING SMILE, chúng tôi cung cấp dịch vụ bọc răng sứ với đội ngũ chuyên gia giàu kinh nghiệm và công nghệ tiên tiến, đảm bảo độ bền và thẩm mỹ tối ưu cho khách hàng. Nếu bạn còn bất kỳ thắc mắc nào về độ bền của răng sứ và cách chăm sóc, đừng ngần ngại liên hệ với chúng tôi qua Hotline: 039775 8888 để được tư vấn và hỗ trợ chi tiết. SHINING SMILE - nơi bạn có thể tin tưởng để giữ gìn và nâng cao vẻ đẹp của nụ cười!
ƯU ĐÃI ĐẾN 70% KHI
ĐĂNG KÍ ONLINE
THÔNG TIN CỦA QUÝ KHÁCH
HOÀN TOÀN BẢO MẬT